Дата
Автор
Скрыт
Источник
Сохранённая копия
Original Material

Белковая мутация приводит к клептомании и сексуальной озабоченности


Ученые Пенсильванского университета обнаружили белок, мутации которого приводят к всевозможным поведенческим маниям (неврозам): например, клептомании или сексуальной озабоченности. Обычно медики объединяют неврозы, используя широкий термин деменции (слабоумия).

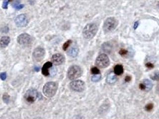
Высокая концентрация белка TDP-43 отмечена в головном и спинном мозге людей, страдающих фронтотемпоральной деменцией и амиотрофическим боковым склерозом, также известном как болезнь Лоу Герига. Мутации TDP-43 запускают механизм неправильного клеточного роста.

Слабоумие используется как широкий термин для обозначения всевозможных поведенческих маний (неврозов): например, сексуальная озабоченность или клептомания. Часто это сопровождается ослаблением памяти, двигательных навыков и речи. Фронтотемпоральная деменция по степени распространенности является второй наиболее опасной болезнью среди людей преклонного возраста (старше 65 лет). Лидером среди старческих недугов остается болезнь Альцгеймера, другой вид слабоумия. Неврологи установили, что последнюю также характеризуют нарушения клеточного развития. Склероз является тяжелой болезнью, постепенно поражающей в организме двигательные нейроны, отвечающие за мускульные сокращения.

Ученые давно подозревали наличие связи между двумя заболеваниями, поскольку нарушения зачастую имели схожие симптомы, сообщает Live Science . Новое исследование позволило обнаружить общую причину этих болезней. Оказывается, склероз и слабоумие развиваются вследствие влияния белка TDP-43, который накапливается в нервных клетках спинного и головного мозга. В нормальных условиях означенный белок отвечает за сохранение информации в ДНК.

Сделанное американскими учеными открытие позволит в дальнейшем выработать механизмы ранней диагностики, лечения и предупреждения неврологических заболеваний, какими являются склероз и слабоумие.