Дата
Автор
Скрыт
Источник
Сохранённая копия
Original Material

Китайские ученые скрестили свиной и птичий грипп. Мировые ученые раскритиковали их за безответственность


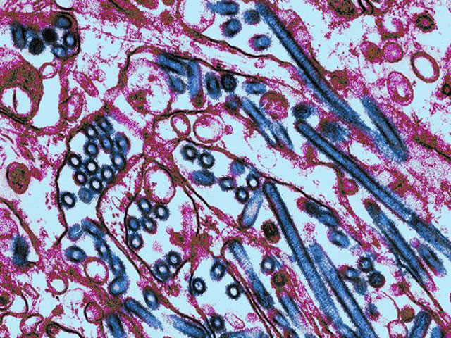
Китайские ученые скрестили два вида гриппа - птичий и свиной , в результате чего получился смертельный, по всей вероятности, для человека вирус. Китайских ученых уже осудило мировое научное сообщество, назвав это исследование бессмысленным и чересчур опасным. Если новый вирус вырвется из лаборатории, то могут пострадать миллионы людей по всему миру, сообщает The Independent.

Профессор Оксфордского университета Лорд Мэй, ранее занимавший пост президента Королевского общества, заявил: "Они утверждают, что сделали это для того, чтобы помочь в разработке вакцины против вируса и тому подобное. Но, на самом деле, истинная причина в кроется в том, что руководствуются лишь слепыми амбициями, которые вообще не имеют никакого смысла".

Он также назвал это "открытие" чудовищно безответственным экспериментом, так как вирус может вырваться из лаборатории и вызвать чудовищную пандемию. "Неважно, что вирус находится в лаборатории. Он может передаться по цепочке от человека к человека, и с их стороны это чудовищно безответственно ", - сказал Лорд Мэй.

Это спорное исследование проводилось под руководством профессора Хуалан Чена, директора Национального китайского центра исследования птичьего гриппа и Ветеринарного исследовательского центра города Харбин. Профессор Чен и ее коллеги смешали вирус птичьего гриппа, который смертелен для людей, но не может передаваться между ними, и вирус свиного гриппа, который как раз способен передаваться воздушно-капельным путем и очень опасен для человека.

Исследователи пытались подражать природе и воссоздать то, что происходит в организме, например, свиньи, когда туда попадают две разных инфекции с двумя различными штаммами вируса. Вирусы мутируют и обмениваются участками генетической информации, если они находятся в одной клетке.

Профессор-вирусолог Саймон Вайн-Хобсон из Института Пастера в Париже, сказал, что существует большая вероятность передачи некоторых из гибридов вирусов между людьми, тем более, что они могут обладать крайне опасными характеристиками птичьего гриппа. Он добавил, что такие эксперименты впечатляют, но очень опасны. "Это фантастичное исследование в рамках вирусологии, что действительно впечатляет, но китайские ученые явно не осознавали, что могут наделать. Это очень беспокоит ", - сказал профессор. Насчет разработки вакцины он добавил, что эксперимент для этих целей не имеет смысла.

Многие ученые поддержали английского и французского экспертов, также выражая свое негодование и озабоченность по поводу того, что вирус может вырваться и привести к пандемии.

Этот странный рискованный эксперимент прошел на фоне угрозы новой эпидемии птичьего гриппа, от которого в Китае скончались уже 26 человек, а 127 были заражены. По словам всемирной организации здравоохранения новая разновидность птичьего гриппа, появившаяся в Китае, - вирус H7N9 - представляет серьезную угрозу здоровью человека. Болезнь начинается с кашля, после чего на фоне высокой температуры стремительно нарастают тяжелые респираторные симптомы, приводящие к пневмонии.

Как известно, в истории человечества уже неоднократно были случаи массовой гибели людей от гриппа. В 1918 и 1919 годах пандемия испанки унесла жизни от 20 до 40 миллионов человек - больше, чем погибло в Первой мировой войне. С апреля 2009 года по август 2010 года от свиного гриппа H1N1 скончались 284 500 человек. По разным данным, ежегодно в мире сезонным гриппом заболевает около миллиарда человек. Умирают от 500 тысяч до трех миллионов.