Нобелевские прогнозы. Часть 3 – аналитический портал ПОЛИТ.РУ

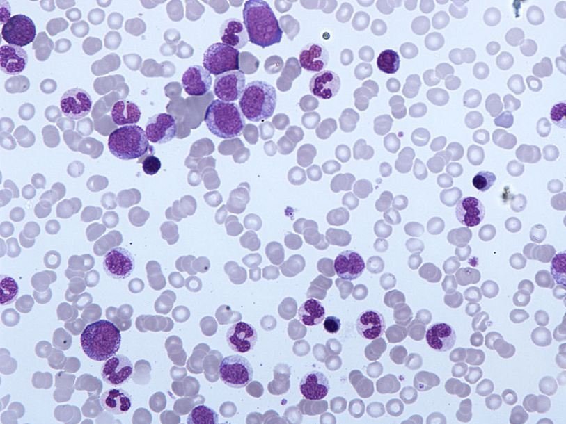
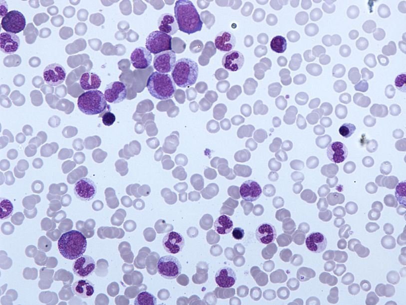
Микропрепарат крови больного хроническим миеломоноцитарным лейкозом Wikimedia Commons Продолжение рассказа о некоторых исследованиях, которые заслуживают Нобелевской премии в области физиологии и медицины.
См. также:
РНК в центре внимания
Молекула РНК в последние десятилетия преподнесла немало сюрпризов, и взгляды ученых на ее роль в организме существенно расширились. Открытия, относящиеся к РНК, уже не раз отмечались Нобелевским комитетом. В 1989 году премию по химии за открытие каталитических свойств РНК получили Сидней Олтмен и Томас Роберт Чек. В 2006 году Эндрю Файер, Крейг Мелло и Марио Капекки, открывшие РНК-интерференцию, получили премию по физиологии и медицине.
Однако многие аналитики считают вероятным присуждение еще как минимум одной премии за исследования РНК. Эту премию могут получить американские исследователи Виктор Амброс (Victor R. Ambros) и Гэри Равкун (Gary Ruvkun) за открытие микроРНК. Это будет несколько странным, так как было бы логичнее дать им премию до того, как ее получили открыватели РНК-интерференции, но всё-таки вполне возможным.
Напомним, что механизм регуляции работы генов на основе РНК действует благодаря наличию в клетки особых коротких одноцепочечных молекул РНК, которые «узнают» (по принципу комплиментарности) нужную матричную РНК и связываются с ней. Затем белки, связанные с короткой одноцепочечной РНК, уничтожают эту матричную РНК. Таким образом, хотя ген будет синтезировать матричные РНК, соответствующий белок не будет синтезироваться, так как матричные РНК «перехватываются» короткими одноцепочечными РНК. Короткие одноцепочечные РНК бывают двух типов – высокоспецифичные малые интерферирующие РНК (миРНК), узнающие последовательности в кодирующей области матричной РНК, и менее специфичные микроРНК, узнающие последовательности в некодирующих областях матричной РНК. Оба этих типа получаются после разрезания и химической модификации длинных двухцепочечных РНК. Информация об этих двухцепочечных РНК содержится в геноме точно также, как и информация о белках. Фермент, похожий на тот, что синтезирует на основе геномной ДНК матричные РНК, синтезирует и заготовки для микроРНК и малых интерферирующих РНК. Только матричные РНК затем попадают в рибосомы, и на их основе синтезируются белки, а будущие микроРНК и миРНК – вступают во взаимодействие с белками, которые вырезают из них короткие одноцепочечные фрагменты и образуют с ними функциональные комплексы.
Интересно отметить, что в случае получение премии Амбросом и Равкуном, это будет уже четвертая Нобелевская премия, которую принесет своим исследователям скромный червячок длиной всего в один миллиметр – нематода Caenorhabditis elegans. На этой нематоде механизмы РНК-интерфереции изучали Эндрю Файер и Крейг Мелло. Ранее Сидней Бреннер, одним из первых введший этого червя в число модельных объектов в биологии, получил Нобелевскую премию за исследования генетического регулирования развития органов и явления клеточной смерти. Еще одним лауреатом, использовавшим Caenorhabditis elegans, был Мартин Чалфи, получивший в 2008 году Нобелевскую премию по химии за открытие зеленого флуоресцентного белка.
TGF-β как противник и союзник опухоли
Еще один вероятный нобелевский лауреат 2014 года – каталонский ученый и фармацевт Жоан Массаге (Joan Massagué Solé). Он входит в топ-50 наиболее цитируемых ученых, занимающихся наукой о жизни. Такую известность ему принесли около 300 работ, значительная часть которых посвящена выяснению механизма действия цитокина TGF-β и его роли в развитии онкологических заболеваний.
Любой многоклеточный организм – это уже довольно сложная структура. Организмы человека и млекопитающих – очень сложные структуры. Во взрослом человеческом организме около 30 триллионов клеток. Чтобы организм был жив, здоров, а, по возможности, еще и бодр, весел и работоспособен, жизнедеятельность всех этих клеток должна быть тщательно скоординирована. Еще более тщательной координации требует эмбриональное развитие, в ходе которого различные структуры образуются в ходе взаимодействия клеток разного типа. Например, для того, чтобы образовался зачаток хрусталика, в определенный момент эмбрионального развития в определенном месте должны встретиться выросты нервной трубки (нейроэктодермального происхождения) и эпителиальные клетки. Когда строители тоннеля под Ла-Маншем встретились в середине 50-километрового туннеля, погрешность по горизонтали была меньше полуметра, а по вертикали – меньше 10 см. Но у инженеров есть чертежи, оборудование и голова на плечах, а клетки выполняют все эти действия «наощупь».
Клетки иммунной системы, обнаружившие вторжение, должны иметь возможность сказать другим клеткам иммунной системы «идите сюда, нам нужно подкрепление», а, когда враг повержен, дать сигнал к отступлению, иначе воспаление может причинить вред организму хозяина.
Роль таких сигналов для иммунной системы выполняют цитокины. Это белковые молекулы, которые синтезируются внутри клеток определенного типа, выпускаются ими наружу, свободно циркулируют в кровяном русле и иногда встречают другие клетки, несущие на поверхности рецептор к этому конкретному цитокину. Если происходит взаимодействие цитокина с рецептором, внутри клетки, сначала в цитоплазме, происходит цепь событий – разные белки взаимодействуют друг с другом в определенной очередности. Как правило, эти события приводят к тому, что часть белков – транскрипционные факторы – попадают внутрь ядра. Они могут связываться с определенными участками ДНК и запускать или подавлять синтез соответствующих белков. Такие каскады реакций и взаимодействия нескольких каскадов позволяют довольно быстро и точно реагировать на события в организме.
Цитокин TGF-β (трансформирующий ростовой фактор бета, transforming growth factor beta) был открыт при исследовании культивируемых in vitro клеток опухолей, которые синтезировали его в больших количествах. Однако это далеко не единственные синтезирующие его клетки, и, в первую очередь, TGF-β выполняет антионкогенную функцию. Просто в 70-80-х годах, когда проводились исследования, ученые умели выращивать в пробирках почти только опухолевые эукариотические клетки – они гораздо менее прихотливы, быстрее делятся и сами по себе бессмертны – могут делиться неограниченное количество раз, в отличие от нормальных нестволовых клеток. Поскольку казалось, что белок помогает клеткам менять морфологию и быстрее делиться, его назвали трансформирующим ростовым фактором. На самом деле, все сложнее.
На поверхности многих клеток в организме есть рецепторы к TGF-β. Именно их открыл и охарактеризовал в начале своей карьеры Жоан Массаге. Когда белок связывается с таким рецептором на поверхности здоровой клетки, внутрь, в ядро устремляются сигналы, что клетке пора перестать делиться, начать дифференцироваться, а то и совершить апоптоз – программируемое клеточное самоубийство.
В организме TGF-β (у него есть несколько разновидностей) синтезируется многими типами клеток, в том числе макрофагами – клетками иммунной системы. По одному из родов своей деятельности TGF-β (его разновидность TGF-β1) – противовоспалительный цитокин. Его синтезируют клетки иммунной системы одного типа, он связывается с рецепторами на поверхности клеток иммунной системы другого типа, давая им тем самым сигнал, что надо сворачивать активность и прекращать воспаление.
Белок также играют важную роль в эмбриональном развитии. Например, если не работает белок TGF-β3, образуются расщелины верхнего нёба (в некоторых случаях, и верхней губы), известные как «волчья пасть» и «заячья губа». Когда формируется нёбо, две группы эпителиальных клеток движутся навстречу друг другу. Чтобы небо сформировалось как надо, клетки должны встретиться и соединиться. Без TGF- β3 этого не происходит. Сложность механизма хорошо иллюстрирует тот факт, что уже сейчас известно более 30 генов, дефекты в которых приводят к аналогичному результату.
Наиболее изученной и изучаемой ролью TGF-β все-таки является его роль в образовании злокачественных опухолей. На ранних стадиях TGF-β подавляет рост опухоли, поскольку способен заставить клетку перестать делиться или даже заставить ее совершить самоубийство. Но опухолевые клетки научились обходить это препятствие. На сегодняшний день общепринятой является следующая концепция канцерогенеза. На протяжении жизни в клетках происходят разного рода мутации. В частности, они могут повреждать гены, работа которых не дает клетке бесконтрольно делиться, или те, которые делают клетку уязвимой для иммунной системы, если с ней что-то становится не так. Если таких мутаций становится достаточно, чтобы обойти защитные системы организма и начать быстро делиться, образуется опухоль. Наследственная предрасположенность возникает из-за того, что некоторые мутации есть у человека уже при рождении, и собрать остальные становится легче. Поскольку механизмы контроля в опухолевой клетке уже поломаны, мутации в ней начинают происходить еще чаще. Многие опухолевые довольно рано приобретают устойчивость к TGF-β и даже используют его в своих интересах. Раковые клетки учатся сами продуцировать TGF-β. Поскольку он иммуносупрессор, это дополнительно защищает опухоль от атак иммунной системы организма. Кроме того, повышенная выработка TGF-β помогает опухоли решить проблему ангиогенеза (образования сосудов), актуальную для всех опухолей. При бесконтрольном росте опухоли клеточную массу становится нечем кормить, поскольку в ней нет сосудов.
Как мы видим, на разных стадиях жизни опухоли TGF-β может играть прямо противоположные роли. Кроме того, много зависит о того, из какого типа клеток образовалась опухоль. Но поскольку многим опухолям TGF-β либо заметно мешает, либо помогает, он делается перспективной мишенью для терапии. Выяснению точных механизмов влияния TGF-β на развитие опухолей, их рост и метастазирование и посвящены многие работы Жоана Массаге.
Окончание следует.
Смотрите также: Максим Руссо 25 лет назад это показалось бы фантастикой Максим Руссо Стволовые клетки в исследованиях 2013 года Ученые повернули старение мышей вспять Александра Брутер Диагноз до рождения