Как работает внимание?

В Лектории Политехнического музея выступила Мария Фаликман, старший научный сотрудник Центра когнитивных исследований филфака МГУ и ведущий научный сотрудник лаборатории когнитивных исследований НИУ ВШЭ, с рассказом о том, что такое внимание и как его изучают. COLTA.RU публикует расшифровку лекции «Хотелось бы заметить».
Что такое внимание? Психологи много лет бьются над этим вопросом. Есть ли оно вообще? Может, мы просто называем «вниманием» способ повышения эффективности других познавательных процессов, происходящих в нашем мозге? А вообще внимание одно или их несколько? Первый и самый простой способ, который человек применяет ко всему непонятному, — сравнение. Внимание, как совершенно непонятную вещь, постоянно с чем-то сравнивают, используют разнообразные метафоры. От того, с чем внимание сравнили, зависит, как его будут дальше изучать. Основатель научной психологии Вильгельм Вундт сравнивал сознание с полем зрения, а внимание — с его фокусом. Ученику Вундта, английскому психологу Эдварду Титченеру, учившемуся у него в Германии, казалось, что метафора Вундта не схватывает одно важное свойство внимания, а именно усилие, которое мы прикладываем, заостряя внимание на каком-то поразившем нас объекте или событии. Титченер сравнил сознание с волной, на гребне которой находятся наиболее сильные впечатления, а на периферии — все остальные. Другой классик психологии, живший и работавший по другую сторону океана, Уильям Джемс, брат великого американского романиста Генри Джеймса, считал, что сознание подобно потоку, который нельзя измерить ложками. Поток непрерывен, неповторим, уникален для каждого. Он всегда куда-то направлен, он не может течь во все стороны сразу. Вот эта направленность — внимание и есть. Что мы получаем, используя эти три метафоры? Очевидно, три основных свойства внимания в любой отдельно взятый момент времени. В свете метафоры поля зрения мы можем говорить об объеме внимания: например, количество детей, за которыми воспитательница может следить во время прогулки, не упуская из виду ни одного. В свете метафоры волны можем измерить силу тех впечатлений, которые представлены у нас в сознании. В свете метафоры потока сознания можем говорить о направленности внимания.
Психологи изучают внимание в лабораторных экспериментах уже больше ста пятидесяти лет.
Но все это имеет отношение лишь к моменту здесь и сейчас. А если посмотреть на процесс во времени, мы получим набор так называемых вторичных свойств внимания, первое из которых — способность распределять его между разными задачами. Одни люди распределяют внимание более эффективно, другие менее эффективно. Кто-то разговаривает по телефону и одновременно читает ленту в социальной сети, а кто-то так не может. Кто-то слушает собеседника и одновременно ведет машину, а кто-то с такой задачей не справится. Один может в течение 15 минут не отвлекаться от чтения или решения кроссворда, а у другого внимание колеблется, и если его попросить решить несложный пример на сложение в больших количествах, рано или поздно он начнет лепить ошибки, так как внимание его потеряет устойчивость. А что происходит во времени с направленностью? Она тоже может меняться. Мы переключаем внимание с одной задачи на другую, с одного объекта на другой. Переключаемость у всех разная. Более того, когда человек говорит, что у него плохо с вниманием, это может означать и слишком высокую, и слишком низкую переключаемость. Когда говорят про школьника «он невнимателен на уроках», то имеют в виду, что переключаемость высокая. Внимание прыгает с тетрадки за окошко, с окошка на спину соседа, обратно в тетрадку и так до бесконечности. Когда говорят о плохом внимании у человека пожилого возраста, то, как правило, имеют в виду переключаемость низкую, когда человеку трудно отвлечься от того, чем он сейчас занят.
Внимание одно или их несколько?
Психологи различают несколько разновидностей внимания. Например, внимание, которое направлено на объекты или события во внешнем мире: красивый салют, чье-то прикосновение, запах вкусных булочек. Такое внимание называют чувственным, или перцептивным. А есть иной род внимания, когда мы как бы смотрим внутрь себя. Такое внимание называют интеллектуальным. На картине Иеронима Босха «Фокусник» человечек с вытаращенными глазами и открытым ртом не в силах отвлечься от манипуляций фокусника, а тем временем команда карманников заимствует у человечка кошелек. Это внимание чувственное. Известная скульптура Родена «Мыслитель» — человек, внимательный к собственным мыслям, — пример внимания интеллектуального. Случается, что мы обращаем внимание на что-то, что привлекает помимо нашей воли. У меня есть одна любимая демонстрация. (С силой толкает стул, и тот с грохотом падает на пол.) Вы не могли не заметить падения стула. Такое внимание называется непроизвольным. Правда, при этом вы продолжали прислушиваться к тому, что я говорю, и точно так же читаете книгу, пытаясь не отвлекаться на шум в метро. Внимание, которым мы управляем, называется произвольным.
Известная скульптура Родена «Мыслитель» — человек, внимательный к собственным мыслям, — пример внимания интеллектуального.
Психологи изучают внимание в лабораторных экспериментах уже больше ста пятидесяти лет. Человеку показывают картинки и просят его что-то на них отметить или отыскать — например, среди двадцати домиков найти один с двумя трубами, — а потом смотрят, насколько успешно он справился с поставленной задачей. В 60-е годы активно использовалась регистрация движения глаза. Это были очень трудоемкие эксперименты: на глаз ставилась присоска, на присоску зеркальце, отражавшее свет, и все записывалось на сотни тысяч километров фотобумаги, которую исследователи, ползая по полу лаборатории, месяцами расшифровывали. Как только изобрели бесконтактную регистрацию движений глаз с помощью приборов, фиксирующих положение зрачка, исследователь получил возможность в ходе реального времени видеть, куда направлен взгляд испытуемого, и предполагает, что именно туда и направлено его внимание. И хотя направление взгляда отнюдь не всегда сообщает, куда направлено внимание, регистрация движений глаз стала очень модной. И не только в фундаментальной науке, но и в сугубо прикладных исследованиях. Например, в рекламе любят строить «тепловые карты»: показывать людям буклетик или страничку сайта и смотреть, куда при свободном разглядывании падает взгляд человека, а после раскрашивать так называемые тепловые карты, красным отмечая места наиболее частой фиксации взгляда, а голубым — наименее частой фиксации.
Где «живет» внимание?
Последние лет тридцать психологи активнейшим образом ищут место, где «живет» внимание. Но ни электроэнцефалограмма, определяющая, находится мозг в бодрствующем состоянии или спит, ни функциональная магнитно-резонансная томография, позволяющая видеть, какие зоны мозга задействованы в решении тех или иных задач на внимание, ответа на этот вопрос не дают. Большинство исследователей так или иначе разделяет ту точку зрения, что внимание представлено в мозге работой сразу нескольких систем. Например, знаменитый американский психолог Майкл Познер предположил, что таких систем три. Первая — бдительность. Поддержание определенного уровня готовности ответить на тот или иной сигнал. Именно эта система задействована, когда нам командуют «на старт — внимание — марш». Именно этот механизм включается, когда кто-то говорит: «Я сейчас скажу что-то очень важное». По всей видимости, ключевыми зонами мозга, участвующими в этом процессе, являются подкорковые зоны. Вторая система — ориентировка. Я говорю: «Смотрите вон туда!» И вы переключаете внимание на то, на что я указываю. Тут работает целый ряд зон мозга, но ключевой считается теменная кора правого полушария — именно поэтому ее поражение во время инсульта приводит к тому, что человек перестает замечать события, происходящие в левом углу поля зрения. Например, еду с правой половины тарелки он съедает, а с левой половины не съедает, потому что не замечает ее. Если повреждение двустороннее, то человек вообще не может управлять вниманием. Он фиксирует взглядом объект, а перевести взгляд на другой объект не может — для этого ему приходится закрывать глаза, мотать головой и даже выходить из комнаты. Подобное явление наблюдается у младенцев: в один-два месяца ребенок еще не умеет отвлекаться от того, на что смотрит, и даже может начать плакать, потому что не может больше смотреть на одно и то же. Но в его случае теменная кора просто не созрела — пройдет немного времени, и задача переключения внимания не будет для него составлять труда.
Большинство людей не замечают появления гориллы, потому что увлечены подсчетом количества передач мяча и игроков в белых майках.
И наконец, третья система, связанная с произвольным управлением вниманием. Я покажу вам одну из классических задач на эту тему. Я буду показывать слова и просить назвать их цвет. (На экране появляется слово «зеленый», набранное зелеными буквами.) Очень легко. А теперь? (На экране появляется слово «зеленый», набранное красными буквами.) Уже сложнее. Потому что требуется подключение вот этой самой системы разрешения конфликта. Майкл Познер доказал, что для каждой из трех систем характерны свои химические вещества, или нейромедиаторы, которые их обслуживают. С бдительностью, естественно, связан норадреналин, с системой ориентировки — преимущественно ацетилхолин, а с системой разрешения конфликтов и управления — допамин. Кроме того, Познер ввел в практику геномный анализ внимания и его нарушений. В частности, обнаружил генетические основы очень модного сегодня синдрома дефицита внимания и гиперактивности. Почему это важно? Потому что, например, проведя генетический анализ развития внимания у школьника, мы можем сказать, действительно ли его гиперактивность носит медицинский характер, или это просто недостатки воспитания, или следствие недостаточного созревания коры головного мозга, или что-то еще.
Что мешает нам быть внимательными?
Что мешает нам быть внимательными? На этот вопрос вот уже шестьдесят лет пытается ответить когнитивная психология. Направление это появилось в Америке в середине XX века в связи с бурным развитием компьютерной техники. Люди, работавшие над созданием первых персональных компьютеров, задавались самыми неожиданными вопросами: а можно ли научить компьютер думать? А можно ли научить компьютер выбирать нужную информацию и даже понимать ее? Когда психологи посмотрели на эти вопросы, они поняли, что сами еще не знают на них ответов. И начали скорей-скорей изучать человеческое восприятие, память и в том числе, конечно, внимание. Естественно, начали с того, что придумали новую метафору: предположили, что человеческая психика работает примерно так же, как компьютер. А раз у технического устройства есть долговременная и кратковременная память, значит, должна быть такая память и у человека. Раз у компьютера есть ограничения в переработке информации, значит, и у человека такие ограничения тоже есть.
Почему дохлый слоник находится сразу?
Ограничения, в свою очередь, могут быть разного рода. Например, ограниченная пропускная способность перерабатывающей системы — и тогда внимание понимается как функция отбора нужной информации, как защита от перегрузок и спама. Ограничения могут быть и энергетического характера — например, ограничения по мощности, которую мы можем тратить на решения задач. Самая старенькая метафора — еще с 1950-х годов — сравнивала внимание с радиотехническим фильтром, который часть информации пропускает, а часть не пропускает. Мне больше всего нравится метафора — и на ней я буду строить весь свой рассказ, — которая сопоставляет внимание с прожектором. В свое время она даже явилась толчком к более детальному изучению прежде всего зрительного внимания. Психологи задались вопросом: а как это пятно света устроено? Однородно оно или неоднородно? Какую часть поля зрения оно охватывает? Наибольшую волну исследований вызвал, конечно, вопрос: а этот прожектор внимания — он вообще для чего нужен? Ответ: для всего. Например, выглянуть из окошка и посмотреть, где там на автостоянке моя машина. Или достать коробку с пуговицами и отыскать в ней подходящую, которую прямо сейчас нужно поскорее пришить на пальто и бежать дальше. Я покажу вам подряд несколько картинок, а вы, пожалуйста, постарайтесь на них найти белую вертикальную полоску.
Нашли, да?
А сейчас тоже нашли?
На первых двух картинках белая вертикальная полоска выпрыгивала сама. Сразу было понятно, где эта полоска находится. На третьей картинке вы эту полоску тоже нашли, но все же искали дольше, чем на первых двух, а на четвертой — еще дольше. Почему? Потому что на первых картинках эта линия отличалась одним-единственным признаком: все линии были черные, а она одна белая, все были горизонтальные, а она одна вертикальная. На двух других картинках полоски были разные: и черные, и белые, и горизонтальные, и вертикальные. То есть у нашей полоски было несколько общих признаков с теми полосками, рядом с которыми она располагалась. Получается, что если то, что мы ищем, отличается от остального всего одним признаком, то, сколько бы отвлекающих объектов мы ни ввели, человек будет находить нужный объект с одной и той же скоростью. Грубо говоря, человека в красном среди людей в черном видно сразу. Примерно так зрительный поиск объясняла американский психолог Энн Трейсман, которая в 1980-е годы предложила главенствующую в психологии внимания до сих пор теорию интеграции признаков. Объяснение у нее было такое: когда мы что-то ищем, то сначала обрабатываем отдельно цвет, отдельно кривизну линий, отдельно наклон. Потом информация об этих признаках сводится на единую карту местоположений. И если по какому-то одному признаку — например, цвету — мы имеем один-единственный объект, отличающийся от остальных, то наше внимание немедленно его «схватит». Если же признаков несколько, то внимание перенаправится от одного места на карте к другому, собирая из признаков целые объекты, пока мы не найдем нужный.
Естественно, первый вопрос: а что, собственно говоря, считать базовыми признаками, по которым возможна обработка информации без участия внимания? Отвечать довольно просто — что выскакивает, то и признак. Проверяем точность сказанного. Найдите объект, который отличается от всех остальных.
Почему дохлый слоник находится сразу, а, наоборот, прямостоящий среди валяющихся кверху ножками — не сразу? Исследования зрительного поиска находят практическое применение в разных хорошо известных всем областях. Например, досмотр багажа в аэропортах. Что происходит, когда человек начинает просматривать сотни и сотни чемоданов, сумок, рюкзаков, бегущих по ленте мимо него? Он получает картинку, рассмотрев которую, должен принять решение: есть ли в сумке запрещенные к провозу предметы или их там нет. Не поверите, но главная проблема этой задачи заключается в том, что чаще всего таких предметов нет. Этому явлению даже придумали название — «проблема редко встречающихся объектов». Из-за того, что объектов нет — точно так же, как, к счастью, в скрининговой диагностике редко встречаются рентгеновские снимки, подтверждающие наличие раковых опухолей, — человек привыкает, что их нет, и не видит их в упор, когда они появляются. Если только он не аутист. Совсем недавние исследования показали, что люди с синдромом аутизма с такой задачей справляются лучше экспертов. Для них проблемы редко встречающихся объектов просто не существует, в то время как у профессионалов она очень и очень частая. На самом деле, проблему эту обнаружили еще в 1970-е годы, в исследованиях Ульрика Найссера, на основе работ которого в 1990-х и был создан знаменитый ролик с невидимой гориллой:
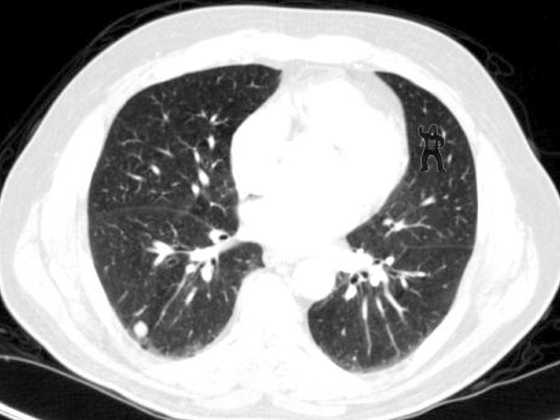
Большинство людей не замечают появления гориллы, потому что увлечены подсчетом количества передач мяча и игроков в белых майках. Это явление получило название «слепоты по невниманию». В совсем новом исследовании гарвардского профессора Джереми Вольфа опытным врачам-радиологам показывали этот снимок легких и спрашивали, все ли с ним в порядке.
Более 80% специалистов не заметили в легких гориллу, потому что во внутренних органах гориллы не живут. Смотрите на экран — сейчас одного предмета не станет прямо на ваших глазах.
Не увидели? Вот же — в нижнем правом углу. В психологии у этой ошибки есть имя собственное — «слепота к изменению». В университетском городке Чикагского университета два психолога — Дэниел Саймонс и Дэниел Левин — поставили эксперимент: на улице к наивному испытуемому подходил человек и просил показать дорогу до университетской библиотеки. В течение нескольких секунд, пока испытуемый объяснял маршрут, двое «рабочих» проносили между собеседниками дверь и экспериментатора подменял напарник — но наивный пешеход этой подмены с высокой вероятностью не замечал.
Несколько лет назад студенты Высшей школы экономики успешно повторили этот эксперимент в районе метро «Текстильщики»: испытуемые замечали подмену, только когда на месте высокого юноши обнаруживали миниатюрную девушку.
Ну и два слова о том, что происходит с психологией в последние годы. Ученые активно изучают так называемое совместное внимание — то, что происходит с нами, когда мы находимся среди других людей. Предполагают, что ребенок обогащает и накапливает словарный запас и способы эмоционального реагирования на события окружающего мира, сонаправляя свое внимание с вниманием родителей. Мама говорит «собачка» и смотрит куда-то, и ребенок, прежде чем успевает сообразить сам, что происходит, смотрит туда же, куда и мама. То же касается команды врачей, которые вообще словами не разговаривают во время операции, все их общение сводится к обмену взглядами.
Куда делся мячик? Самые догадливые поняли, что он остался у экспериментатора в руке. А всем остальным, естественно, показалось, что мячик улетел в небо. А если экспериментатор не будет следить взглядом за мячиком — никаких иллюзий, да? И становится абсолютно очевидно, что он его не кинул. Собственно, подобные приемы в ходу у фокусников и карманников. И те, и другие пользуются нашей способностью сонаправлять взгляд со взглядом другого человека. В последние несколько лет объявили даже о создании нового научного направления, обозначенного как нейромагия — попытка изучения мозговых механизмов внимания, стоящих за ошибками и зрительными иллюзиями, которые создают фокусники. Что забавно, статья, где впервые было заявлено это направление, вышла в очень серьезном журнале за авторством двух нейрофизиологов, четырех фокусников и — неожиданно — одного бывшего карманника. Спасибо вам за внимание, а есть оно или нет — решайте сами.
Записала Наталья Кострова