Uno, dos, tres. Как билингвизм меняет наш мозг

Каждый, кто хорошо владеет и общается как минимум на двух языках, хотя бы раз оказывался в такой ситуации, когда проще употребить выражение из французского или английского вместо нужного русского слова. Чем чаще нам приходится переключаться между двумя или более языками, тем чаще из памяти выпадают слова родной речи. Почему? Один язык вытесняет другой? Некоторые ученые полагают, что в определенной степени так и есть. Но значит ли это, что билингвизм в действительности вредит мозгу, рассеивает внимание, слишком нагружая его?
Еще до недавнего времени считалось, что дети-билингвы обучаются медленнее прочих. Вот цитата из статьи 1999 года на сайте Американской академии семейных терапевтов: «Двуязычная среда дома может вызвать временную задержку в использовании обоих языков. Ребенок обычно начинает свободно говорить на двух языках к пятилетнему возрасту». Сложности с речью как побочный эффект билингвизма – распространенный миф. На самом деле примерно у 7% детей наблюдается задержка или другие особенности речевого развития, но когда такая задержка проявлялась у билингвы, родители и педагоги полагали, что это именно ранняя нагрузка вторым языком замедлила темпы усвоения языка или даже навредила интеллектуальному развитию.
По словам психолога-лингвиста, мозг билингва похож на культуриста в спортзале
Но это не так. Многочисленные новые исследования показали, что дети, в семье которых говорят на двух языках, достигают первых «чек-поинтов» языкового развития (первое сказанное слово, первые освоенные 50 слов) не позднее своих сверстников. Опасения, что ребенок будет путаться между языками, тоже не подтвердились исследованиями: было доказано, что дети-билингвы способны не смешивать слова из разных языков.
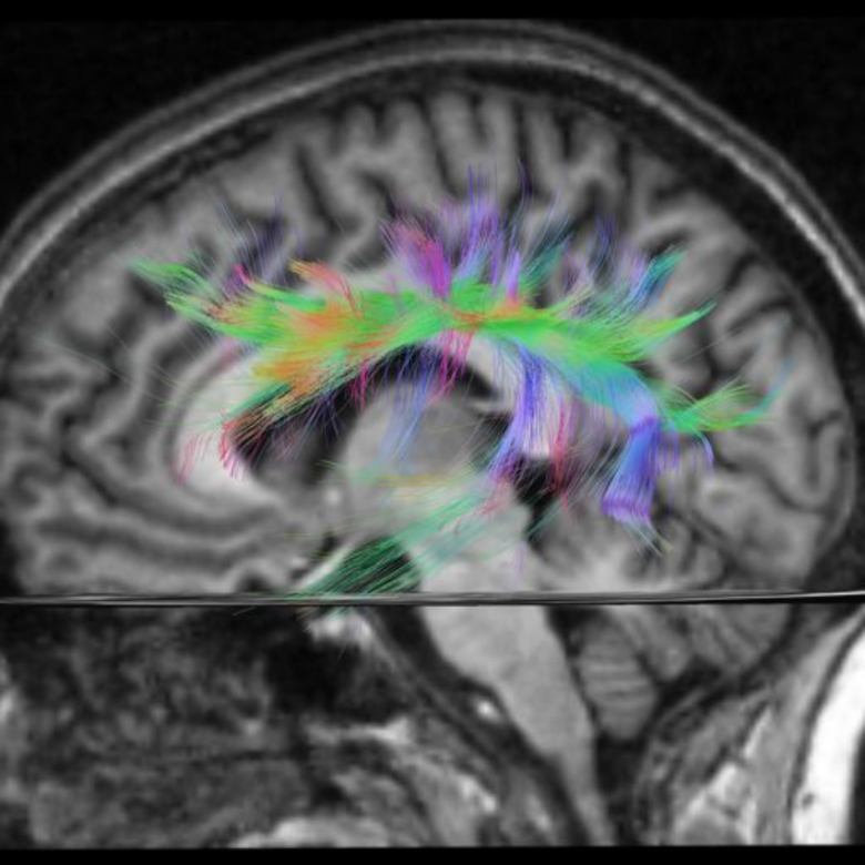
Тем не менее билингвизм действительно меняет наш мозг. Еще в 2004 году группа ученых из нескольких британских университетов в своей работе показала, что владение несколькими языками вызывает «скорее функциональные, чем структурные» изменения мозга. Они установили, что изучение второго языка увеличивает плотность серого вещества (состоящего из нейронов, обрабатывающих информацию) в нижней части теменной доли левого полушария, которое отвечает за языковые и коммуникативные навыки. Более того, эффект зависит от уровня владения языками и возраста, в котором человек начал их изучать, – эти изменения были максимально выражены у людей, начавших изучать второй язык до пятилетнего возраста, и тех, кто владел вторым языком наиболее свободно. Более поздние исследования подтвердили эти выводы.
Подпишитесь, чтобы прочитать целиком
Оформите подписку Redefine.Media, чтобы читать Republic
Подписаться [Можно оплатить российской или иностранной картой. Подписка продлевается автоматически. Вы сможете отписаться в любой момент.]