Максим Руссо: Отрезать снабжение опухоли

Васкулогенная мимикрия American Society for Investigative Pathology На Тайване и в США начаты клинические испытания препарата, который может стать не только новым эффективным средством против ряда видов меланомы, но и окончательно поставить точку в споре, который ученые ведут уже больше пятнадцати лет.
Клетки опухолей отличаются сверхбыстрым ростом и размножением, что требует постоянного усиленного снабжения питательными веществами и кислородом. Поэтому для опухоли крайне важно, что ее рост сопровождался ростом кровеносных сосудов, по которым она будет получать все необходимое. Онкологам с 1970-х годов было известно, что опухолевые клетки способны выделять ферменты, стимулирующие развитие кровеносных сосудов в районе опухоли. Ряд средств для борьбы с раком, появившихся в 1990-е годы, направлен именно на подавление такого ангиогенеза. Сейчас уже есть препараты, которые получили одобрение для клинического применения, например, бевацизумаб (авастин) – ингибитор фактора роста эндотелия кровеносных сосудов – или сорафениб (нексавар).
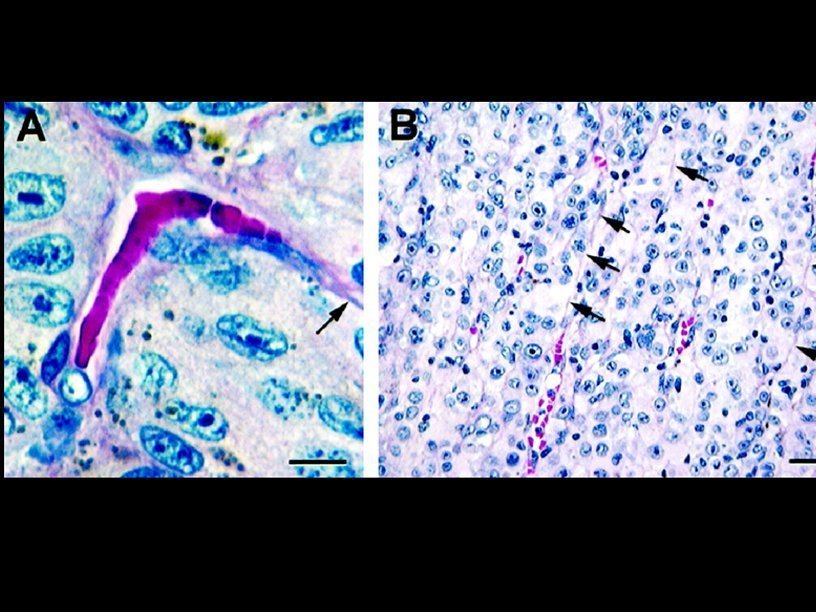
Но в 1999 году The American Journal of Pathology напечатал статью, в которой впервые говорилось о другом методе, которым опухоль налаживает свое снабжение кровью. Авторами статьи были патолог Роберт Фолберг (Robert Folberg) из Чикагского университета и онкологи Мэри Хендрикс (Mary J.C. Hendrix) и Эндрю Маниотис (Andrew J. Maniotis) из Онкологического центра Университета штата Айова. Фолберг, исследуя образцы ткани меланомы сосудистой оболочки глаза, обнаружил, что опухолевые клетки в них формируют канальцы, напоминающие кровеносные сосуды. Поначалу ученый даже решил, что это настоящие кровеносные сосуды, и лишь исследовав их подробнее, установил, что это не так.
При дальнейших исследованиях Фолберг и его коллеги обнаружили такие структуры во многих образцах меланомы глаз и кожи. Они встретили как одиночные каналы, так и ряды параллельных каналов, порой связанных между собой, а также каналы, образующие арки, петли и ветвящиеся подобно деревьям. Внутри каналов находили эритроциты. Позднее выяснилось, что подобные каналы на образцах опухолевых тканей, различные исследователи замечали еще с 1940-х годов, но не считали, что они играют роль в кровоснабжении опухоли.
Образцы тканей, изученные Робертом Фолбергом и его коллегами
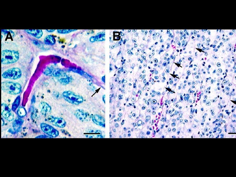
Ученые пришли к выводу, что клетки опухоли способны самоорганизоваться в структуры, похожие на кровеносные сосуды и выполняющие их роль. Они назвали такое явление васкулогенной мимикрией (vasculogenic mimicry). Отличие между «псевдососудами», сформировавшимися внутри опухоли, и обычными кровеносными сосудами состоит в том, что внутренняя поверхность кровеносных сосудов образована клетками эндотелия, тогда как «псевдососуды» сформированы исключительно из опухолевых клеток. Были обнаружены подтверждения того, что сеть «псевдососудов» внутри опухоли имеет соединения с кровеносной системой организма.
Васкулогенная мимикрия при меланоме сосудистой оболочки глаза
Также ученые продемострировали, что клетки меланомы кожи образуют такие же структуры, когда их культивируют в лабораторных условиях. Для этого использовался особый гель, имитирующий внеклеточный матриц – структуру волокон, окружающих клетки в тканях. Туда подсаживали клетки меланомы человека. В результате клетки агрессивных разновидностей меланомы активно развивались в культуре и организовывались в структуры «псевдососудов».
Два способа кровоснабжения опухоли: ангиогенез и васкулогенная мимикрия
Исследователи предположили, что васкулогенная мимикрия влияет на образования метастазов опухоли. Раковые клетки оказываются сначала в «псевдососуде» внутри опухоли, потом по нему переходят в обычный кровеносный сосуд и далее распространяются по организму, давая начало метастазам. Исследование подтвердили, что наличие в ткани опухоли некоторых типов структур из «псевдососудов» действительно повышает вероятность метастазирования. Также установлено, что пациенты с меланомой, у которых отмечена васкулогенная мимикрия, имеют худший прогноз заболевания, чем тем, у кого она не обнаружена. Метаанализ, проведенный в 2016 году китайскими учеными, объединил результаты 36 исследований более чем десятка типов рака, и в итоге было установлено, что вероятность смерти пациента повышается примерно вдвое, если в его опухоли есть васкулогенная мимикрия.
Сейчас такие структуры в опухолях находят в 70-80% случаев меланомы кожи и глаза, а также в 10-20% случаев рака молочной железы, яичников и астроцитом. Также «псевдососуды» найдены в опухолевой ткани при раке простаты, почек, легких и костей.
В 2015 году молекулярный биолог Грег Хэннон (Greg Hannon) из Кембриджского университета и его коллеги пометили отдельные клетки рака молочной железы при помощи определенной нуклеотидной последовательностью («молекулярный штрих-код») и ввели их в организм мышей. Часть введенных клеток вызвали появление опухолей, и некоторые из опухолей породили метастазы. Благодаря «штрих-коду» исследователи могли проследить, какие именно клетки порождают метастазы. Также Хэннон и его коллеги обнаружили, что васкулогенная мимикрия и одновременно повышенная способность к метастазированию в опухолях мышей были связаны с экспрессией генов, кодирующих белки Serpine2 и Slpi. Подобные белки есть и у человека, и предшествующие исследования вывели связь усиленной экспрессии соответствующих генов с метастазированием рака молочных желез.
Но далеко не все исследователи признали васкулогенную мимикрию. Они не отрицают, конечно, продемонстрированного на фотографиях и в клеточных культурах наличия особых структур внутри опухолей, но считают, что Фолберг, Хендрикс и Маниотис ошиблись в их интерпретации. Все петли и сети опухолевых каналов, по мнению оппонентов, представляют собой просто складки соединительной ткани, а найденные там эритроциты проникли туда случайно из настоящих кровеносных сосудов опухоли. Уже спустя два месяца после первой публикации о васкулогенной мимикрии в том же журнале была напечатан критическая статья специалиста по кровоснабжению опухолей Дональда Макдональда (Donald McDonald) из Калифорнийского университета в Сан-Франциско и двух его соавторов, где указывалось, что авторы открытия не доказали главного – наличия постоянной циркуляции крови по системе «псевдососудов».
Сторонники васкулогенной мимикрии находили новые подтверждения своей теории. Например, в 2008 году Фолберг и его коллеги вводили флуоресцентный краситель в сосуды на руках пациентов, у которых была меланома глаза. За полминуты краситель проникал через кровеносную систему и появлялся в каналах внутри опухоли. Но полностью убедить своих критиков они пока не смогли.
Неясным остается, например, как кровь в «псевдососудах» избегает преждевременного тромбообразования. В обычных сосудах циркуляция крови обеспечивается в частности тем, что клетки эндотелия выделяют антикоагулянты, препятствующие свертыванию крови. Возможно, в «псевдососудах» эту роль на себя берут опухолевые клетки. По крайней мере, Мэри Хендрикс и ее коллеги обнаружили, что у клеток опухолей, формирующих стенки «псевдососудов», отмечается активность генов, характерных для эндотелиальных клеток. В частности антикоагулянтами служат белки Serpine2 и Slpi, связь которых с васкулярной мимикрией и образованием метастаз была доказана в упомянутом выше исследовании Грэга Хеннона два гена.
По данным патологоанатома Джорджа Мерфи (George Murphy) из больницы Brigham and Women's Hospital в Бостоне, «псевдососуды» опухолей образуют только некоторые опухолевые клетки. Возможно, такие клетки близки так называемым раковым стволовым клеткам (cancer stem cells), которые сейчас часто считают ответственными за случаи рецедивов и метастазирования опухолей. Опыты Мерфи и его коллег показывают, что клетки «псевдососудов» демонстрирую характерные для раковых стволовых клеток способность давать начала клеткам разных типов и устойчивость к химиотерапии. «Это, как представляется, особая субпопуляция клеток внутри рака, которые очень умны», – говорит Мерфи.
Если васкулогенная мимикрия реально служит для кровоснабжения опухолей, это делает недостаточными методы лечения рака, которые основаны на подавление ангиогенеза. Гистопатолог Франческо Пиццелла (Francesco Pezzella) из Оксфордского университета обращает внимание на случаи, когда лекарства типа авастина и нексавара дают лишь временный эффект, и считает это свидетельством в пользу правоты сторонников васкулогенной мимикрии.
Начавшаяся в 1999 году дискуссия продолжается и поныне, но сейчас, наконец, появилась возможность экспериментальной проверки гипотезы о васкулогенной мимикрии. Если создать методы, нарушающие образование каналов внутри опухолей, и это даст эффект в лечении, то можно признать, что каналы действительно играют роль в кровоснабжении опухоли. Тут возможны два подхода. Можно бороться с самой способностью опухолевых клеток к самоорганизации в каналы, а можно подавлять выделение белков-антикоагулянтов, чтобы кровь не могла нормально циркулировать в этих каналах. Исследователи уже проверили несколько стандартных ингибиторов ангиогенеза, но на васкулогенную мимикрию они не оказывают действия.
Сейчас тайваньская биотехнологическая компания TaiRx предложила новый препарат CVM-1118, предназначенный для подавления роста опухолей. Первые эксперименты, проведенные Мэри Хендрикс показали, что CVM-1118 нарушает формирование систем «псевдососудов» в опухолях. Теперь производитель начал первую фазу клинических испытания препарата. Как сообщает Мэри Хендрикс, подобные лекарства сейчас разрабатывают еще несколько фармацевтических фирм, но они пока не готовы приступить к испытаниям.