Максим Руссо: Бактерия против вируса Зика

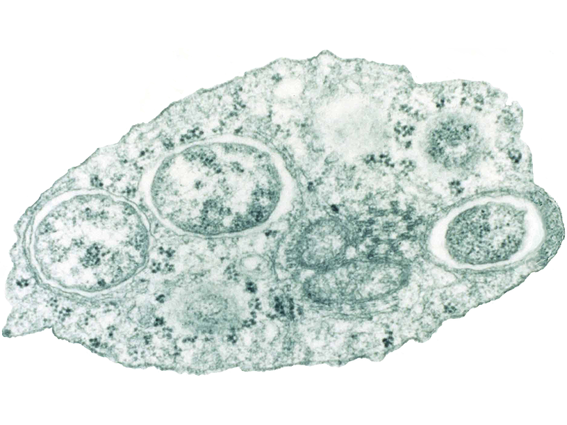
Вольбахии в клетке насекомого. Фотография, сделанная при помощи просвечивающего электронного микроскопа Wikimedia Commons Ученые из Висконсинского университета в Мэдисоне предлагают использовать бактерию Wolbachia pipientis для борьбы с распространением вирусной лихорадки Зика. Первые эксперименты, проведенные ими, показывают, что бактерии могут полностью блокировать передачу вируса через комаров Aedes aegypti, которые служат основными переносчиками лихорадки Зика в Южной Америке.
Несмотря на то, что сейчас уже есть сообщения о разработке новых средств против лихорадки Зика, серьезная проблема, возникшая после начала в 2015 году южноамериканской эпидемии этой болезни, до сих пор не решена. Сейчас от эпидемии пострадали 39 стран и территорий Северной и Южной Америки, и ожидается, что к концу этого года число инфицированных достигнет как минимум четырех миллионов человек. Хотя сама болезнь, как правило, протекает очень легко, а примерно в трети случаев проходит вообще незаметно для зараженного человека, штамм вируса, распространившийся в Америке, приобрел несколько опасных свойств. Он оказался способным при заражении беременной женщины проникать в организм эмбриона, где вирус вызывает тяжелые поражения мозга, в первую очередь микроцефалию, приводящую к гибели эмбриона или ребенка в первые дни после рождения. Также вирус Зика ученые считают ответственным за вспышку случаев неврологического расстройства, известного как синдром Гийена-Барре.
Что же за бактерия вольбахия, которая, по словам исследователей, станет «новым инструментом биологического контроля вируса Зика»? Впервые она была обнаружена в 1926 году американскими бактериологами Маршаллом Хертигом (Marshall Hertig) и Саймоном Вольбахом (Simeon Burt Wolbach) в организме обыкновенного комара (Culex pipiens). Поэтому она получила научное название Wolbachia pipientis, родовое — в честь одного из первооткрывателей, видовое — в честь хозяина. Однако сравнительно скоро выяснилось, что вольбахия проживает не только в одном виде комаров. В опубликованном в 2007 году исследовании сделан вывод, что в неотропической биогеографической области, охватывающей Южную и большую часть Центральной Америки, более 16% видов насекомых несут в себе эту бактерию, а от 25% до 70% видов оказываются ее потенциальными носителями. Другие публикации утверждают, что вольбахия способна поселиться примерно в 60% видов насекомых всего мира. Помимо насекомых вольбахии отмечены у ракообразных (наземных мокриц), паукообразных и у некоторых нематод.
Отношения вольбахии с насекомыми-хозяевами непросты, порой они предстают как типичный паразитизм, а в других случаях выглядят взаимовыгодным сотрудничеством. Есть и такие виды насекомых, которые без вольбахии вообще не могли бы существовать.
Главная особенность вольбахии — способность ее активно влиять на жизнь своего хозяина, включая определение пола и репродуктивную функцию. Детали механизмов этого влияния досконально пока не изучены, но вероятно, бактерия использует малые некодирующие РНК, чтобы влиять на экспрессию генов своего хозяина. Такие молекулы (WsnRNA-46 и WsnRNA-59) были обнаружены в организмах комара Aedes aegypti и мухи дрозофилы.
Чаще всего вольбахия стремится к одному: чтобы насекомое, в котором она живет, оказалось самкой. В яйцеклетках насекомых бактерии хорошо уживаются и попадают в новый организм, а вот в сперматозоидах бактерий нет, поэтому, если они живут в организме насекомого-самца, то теряют шанс на продолжение рода. Поэтому с самцами вольбахия борется несколькими способами. У некоторых видов насекомых инфицирование просто вызывает гибель самцов еще на личиночной стадии, тогда как развитие личинок-самок напротив стимулируется. Более прогрессивный (с точки зрения бактерии) способ — превращение инфицированных самцов в самок. Третий метод — стимуляция партеногенетического размножения. В этом случае инфицированные вольбахией самки становятся способны продолжать род без участия самца. Наконец, существует вариант, при котором инфицированные самцы не погибают, но становятся неспособными оплодотворить самку, если она не инфицирована тем же штаммом вольбахии, что и они.
Многие виды паразитических наездников из рода Trichogramma стали настолько зависимы от вольбахии в вопросах определения пола, что уже не могут размножаться, не будучи зараженными этой бактерией. В других видах этого рода вызванная вольбахией не возможность получения потомства от инфицированного и неинфицированного насекомого обеспечила репродуктивную изоляцию на протяжении длительного времени, что запустило процесс разделения вида на два. Распространенный вид мокриц — мокрица-броненосец обыкновенная (Armadillidium vulgare) в ходе постоянной переделки в самок, вызванной бактерией, в некоторых популяциях полностью утратил хромосому, которая отвечает за развитие по женскому типу. Теперь самки этих мокриц появляются только из-за влияния вольбахии.
Преследуя свои интересы, вольбахия доставляет своим хозяевам несомненные выгоды. Ученые установили, что зараженные вольбахией обыкновенные комары (Culex pipiens) более устойчивы к инсектицидам. Наездники Muscidifurax uniraptor и мухи Drosophila simulans при заражении увеличивают плодовитость. Вид Phyllonorycter blancardella из семейства молей-пестрянок (Gracillariidae), личинки которого проделывают ходы внутри листьев яблонь, получил благодаря бактерии выгодную способность заставлять участок листа оставаться зеленым, когда лист уже увядает. Благодаря этому сохраняется питание для личинок, и они успешно завершают свое развитие. Когда ученые уничтожили живущих в этих личинках вольбахий при помощи антибиотика тетрациклина, число доживших до стадии взрослой моли личинок составило лишь 13% от обычной нормы.
В организме мухи Drosophila melanogaster вольбахия способствует метаболизму железа, а постельному клопу (Cimex lectularis) вольбахия штамма cCle помогает синтезировать витамины группы B. Обеспечение хозяина необходимыми для жизни и размножения химическими веществами в некоторых случаях делает вольбахию обязательным симбионтом. Так обстоит дело у нематод Brugia malayi и Wuchereria bancrofti, вызывающих разные формы так называемой «слоновой болезни». Если применить антибиотики, которые избавят этих нематод от бактерий, то они не смогут размножаться и скоро погибнут. Сейчас это свойство нематод врачи планируют использовать в борьбе с ними. Вольбахию убивает простой антибиотик доксициклин, тогда как для расправы с нематодами требуются лекарства, токсичные и для человека. Более того, врачи предполагают, что патологические проявления заражений различными нематодами во многом изначально связаны с иммунной реакцией человека на живущую в нематодах вольбахию.
Своих хозяев вольбахия часто защищает от инфекций. Экспериментально доказано, что зараженные вольбахией мухи Drosophila melanogaster и Drosophila simulans, а также различные виды комаров более устойчивы к РНК-содержащим вирусам, среди которых С-вирус дрозофил, вирус паралича сверчков, вирусы болезней чикунгунья, денге, желтой лихорадки и лихорадки Западного Нила. Поскольку многие из этих вирусов проникают через укусы комаров в организм человека и вызывают опасные болезни, вольбахия тут становится союзницей людей.
Уже существует проект Eliminate Dengue Program (EDP) по ликвидации лихорадки денге, возглавляемый профессором Хорхе Осорио (Jorge Osorio) из Висконсинского университета в Мэдисоне и Скоттом О’Нилом (Scott O’Neill) из Университета Монаша в Мельбурне. Изначально в природе вольбахии не были отмечены в организме комаров Aedes aegypti, которые переносят денге, чикунгунью и многие другие болезни, но Скотт О’Нил и его коллеги заразили этих комаров в лаборатории, и бактерии оказались способны жить в них. Чтобы прервать распространение вируса денге, ученые проводят эксперименты по выпуску инфицированных вольбахией комаров в Колумбии, Бразилии, Австралии, Вьетнаме и Индонезии. Первые результаты показывают, что бактерия после занесения ее в местную популяцию легко способна поддерживать свое существование без помощи людей. Эксперименты были начаты шесть лет назад в Австралии, и в районах, где выпускались инфицированные комары до сих пор 90% популяции комаров несет в себе вольбахию.
Поскольку вирус Зика близкий родственник вируса лихорадки денге, Хорхе Осорио и его коллеги Мэтью Алиота (Matthew Aliota) и Стивен Пенайдо (Stephen Penaido) заинтересовались, нельзя ли использовать вольбахию для борьбы и с этой болезнью. С помощью Ивана Дарио Велеза (Ivan Dario Velez) из Университета Антьокьи в Медельине (Universidad de Antioquia en Medellín, Колумбия) они провели эксперимент. Лабораторных мышей инфицировали вирусом Зика, выделенным из крови больного человека. Уровень вируса в крови мышей соответствовал тому, что наблюдается у зараженных людей. Далее комарам Aedes aegypti, часть которых была инфицированная штаммом вольбахии wMel, а часть свободна от бактерии, давали сосать кровь у этих мышей. Еще одна группа комаров, как инфицированных, так и нет, питалась овечьей кровью, в которой также было высокое содержание вируса Зика.
Через четыре, семь, десять и семнадцать дней после начала эксперимента исследователи проверяли наличие вируса Зика в организме комаров. Обычно вирус из выпитой крови сперва находится в кишечнике комара, а затем распространяется по организму, проникая и в слюнные железы, откуда может заразить следующих жертв. Как обнаружили исследователи, комары, у которых имелась вольбахия, значительно реже получали вирус Зика. А те, что все-таки получили его, не были способны передать вирус дальше. Обращает на себя внимание тот факт, что хотя в организме лабораторных мышей концентрация вируса была ниже, чем в овечьей крови, комары, кусавшие мышей, заражались быстрее, чем те, кто через мембрану пил овечью кровь.
Ученые планируют продолжить исследования и надеются, что смогут в сотрудничестве с вольбахией ограничить распространение не только вирусной лихорадки Зика, но и ряда других болезней, которые переносит комар Aedes aegypti. О полученных на данный момент итогах сообщается в статье в журнале Scientific Reports.
Смотрите также: Максим Руссо Лихорадка Зика: подозрения подтверждаются Токсоплазма изменяет передачу сигналов между нейронами Паразитические черви увеличивают шансы на беременность Названы лауреаты Нобелевской премии по физиологии и медицине