Максим Руссо: Новые яйцеклетки

Человеческая яйцеклетка Ed Uthman/Flickr Неожиданное сообщение сделала группа ученых из Эдинбургского университета. Если оно подтвердится, это перевернет устоявшиеся представления о развитии половых клеток в организме человека. Исследователи утверждают, что обнаружили способность яичников взрослых женщин производить новые яйцеклетки. Такой эффект возникает при применении определенных препаратов, которые обычно используются для лечения лимфомы.
Согласно современным представлениям, все яйцеклетки образуются в организме женщины еще в эмбриональный период развития. Их предшественниками служат первичные половые клетки (гоноциты). Они развиваются желточном мешке – эмбриональном органе, который у человека работает до конца первого триместра беременности, а потом редуцируется. В ходе развития эмбриона гоноциты покидают желточный мешок и отправляются в путь через весь эмбрион туда, где начинают формироваться половые железы. Гоноциты, попавшие в яичники, дают начало ооцитам – будущим яйцеклеткам, а те, что приходят в семенники – сперматозоидам. В яичниках эмбриона ооциты интенсивно делятся, а после рождения деления клеток уже не происходит, ооциты лишь растут и созревают. Таким образом, в организме родившейся женщины есть хоть и очень большое (сотни тысяч), но все-таки ограниченное число будущих яйцеклеток.
Поэтому профессор Эвелин Тефлер (Evelyn Telfer) и ее сотрудники были очень удивлены результатами своего исследования. Они изучали развитие яйцеклеток в организме женщин с онкологическими заболеваниями при химиотерапии. Исследователи намеревались выяснить, почему комплекс препаратов ABVD, использующийся при лечении ходжкинских лимфом, в отличие от многих аналогичных средств, не вызывает у пациентов проблем с фертильностью.
Чтобы ответить на этот вопрос, они брали биопсию яичников у женщин, проходивших курс такого лечения. В исследовании участвовали восемь пациенток, получавших препараты по схеме ABVD, три женщины, чей курс лечения был построен по другой схеме (OEPA-COPDAC), а также десять здоровых женщин. При изучении препаратов оказалось, что количество ооцитов у них значительно (от двух до четырех раз) больше, чем у здоровых женщин того же возраста. Эвелин Тефлер рассказывает изданию The Guardian: «Это было что-то замечательное и совершенно неожиданное для нас. В тканях, по-видимому, образуются новые яйцеклетки. Считалось догмой, что в человеческих яичниках есть фиксированное количество яйцеклеток и никакие новые не могут формироваться на протяжении всей жизни».
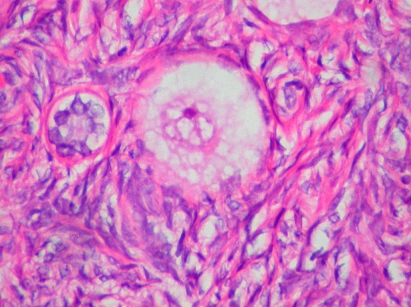
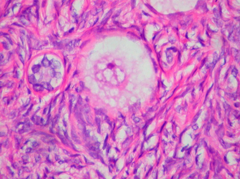
Препарат ткани яичника женщины, проходившей химиотерапию по схеме ABVD, (слева вверху), содержит больше фолликулов, в каждом из которых находится ооцит, чем ткани других женщин.
Если открытие подтвердится, оно даст врачам новый метод лечения женского бесплодия. Но Эвелин Тефлер полагает, что пока рано говорить о его применении в клиниках по лечению бесплодия. По ее словам, функционирование яичников изучено недостаточно, поэтому сначала в эффекте препарата должна разобраться фундаментальная наука и лишь потом станет ясно, можно ли его использовать в клинической практике.
Сообщение об обнаруженном эдинбургскими учеными эффекте другие специалисты встретили с восторгом, к которому была примешена изрядная доля скептицизма. «Я думаю, что эти данные, а также определение задействованных механизмов может проложить путь к разработке новых методов лечения бесплодия или продлить продолжительность репродуктивного периода женщин путем пополнения яичников новыми фолликулами, – говорит Кенни Уоллберг, старший консультант больницы Каролинского университета в Стокгольме. – Это говорит о том, что яичник действительно более сложный и универсальный орган, чем нас учили, и ему присуща способность к обновлению». Другие, в том числе Дэвид Альбертини, директор лаборатории Центра репродукции человека в Нью-Йорке, менее убеждены в реальности появления новых яйцеклеток. «Честно говоря, я думаю, что есть слишком много других способов, которыми можно объяснить результаты, и выработка новых ооцитов – лишь один из них».
Альбертини говорит, что ооциты уже могли содержаться в яичниках и появиться на поверхности из-за реакции ткани на лекарственный препарат. Также действие препарата могло привести к повреждению фолликулов и разделению их пополам. В таком случае содержащиеся в фолликулах ооциты не размножались. По мнению Альбертини, следует, во-первых, убедиться в воспроизводимости эдинбургских результатов, а, во-вторых, найти им объяснение.
Тефлер и ее коллеги утверждают, что образование новых ооцитов кажется им наиболее вероятным объяснением, так как клетки, обнаруженные в тканях пациенток, проходящих терапию по схеме ABVD, выглядят моложе обычных ооцитов. Они больше похожи на еще не достигшие созревания ооциты в яичниках девочек.
Ранее группа Эвелин Тефлер обнаружила в яичниках стволовые клетки, которые теоретически могут послужить источником новых ооцитов. Но даже это открытие вызывает сомнение у ряда коллег. На данный момент единственное, в чем единодушны Тефлер и скептики, это убежденность, что говорить о применении подобного метода для лечения бесплодия еще слишком рано.
Результаты исследований эдинбургских ученых были впервые представлены в июле на ежегодной конференции Европейского общества репродукции человека и эмбриологии, а сейчас проходят рецензирование перед публикацией в научном журнале.
Смотрите также: Максим Руссо Новая дорога к сперматозоидам Александра Брутер Хромосомные войны Половые клетки получены из клеток кожи человека Японцы научились изготавливать яйцеклетки и сперматозоиды из клеток мышей