Александр Авербух. Кадиш

Сегодня на COLTA.RU — три публикации авторов, живущих в разных городах — от Киева до Торонто, но существующих в поле украинской культуры и при этом тесно связанных с русским языком. Марианна Кияновская пишет на украинском и переводит с русского; Евгения Белорусец пишет по-русски, живет и печатается в Украине; стихи Александра Авербуха находятся в мерцающей зоне между двумя языками. Мы рады дать нашему читателю возможность познакомиться с этими текстами.
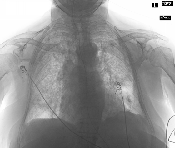
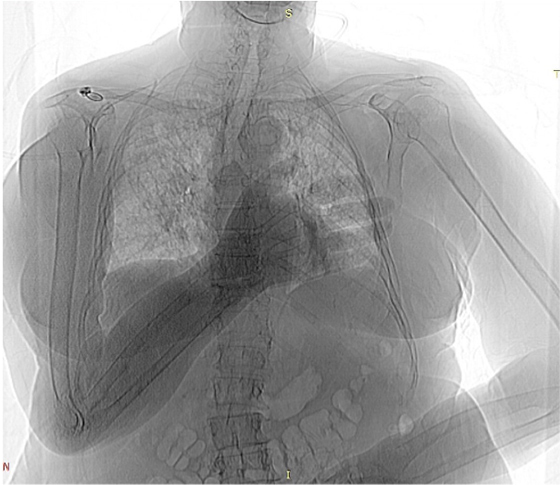
Этот цикл я писал, всматриваясь в медицинские снимки умирающего родного тела. Я пытался разглядеть его изнутри и осознать неосознаваемое: как это — постепенно умирать? Как отпустить, чем отстоять и куда его уложить, чтобы не было больно? В ужасе я наблюдал за расплывающимися узорами смерти, пока она не залила все живые уголки дряхлого тела. Снимки и тексты — свидетельства скрытого, немого страдания, которому я даю право быть увиденным и услышанным.
Это — кадиш по моей бабушке, которая умерла 18 января 2019 года. Была пятница, и похоронить ее нужно было до захода солнца — до начала Шаббата, который наступает в пятничный вечер. Кладбище было напротив больницы, через дорогу. Мы хоронили ее через три часа после смерти, не успев позвать ни родных, ни близких. Кадиш — это иудейская поминальная молитва. Для ее чтения необходим миньян — десять мужчин. Нас было меньше, поэтому хоронили без молитвы, спешно. Эти стихотворения — мой кадиш, который тогда мне произнести не дали, мое отпевание пустоты, что осталась после нее. В кадише использованы реальные медицинские материалы — рентгеновские снимки, УЗИ, КТ, ЭКГ — из истории болезни бабушки, с момента обнаружения рака и до самой смерти. Последняя кардиограмма была снята с мертвого тела. Так требовал больничный протокол.
у смерти много вопросов к твоему телу
пока терпение ниспадает
на стеклянное дно непонимания боли
можно не отвечать
ответ гроздится где-то в зимне-осиных ребрах
а ты и не думала что оно насквозь поддевает
отрывные моменты силы
с размахом
потянет за дряхлое и бледное
неузнавание времени
вне тебя.
до самого конца тела
втягиваешь просвет
в синие две реки окунаешь глаза —
сегодня омывают куцые корешки боли
и сплоток уносит за выкапель пересердий
вверенное тебе вылучается на минутку
и две промасленные фигуры
уже не дожигаются
я ведёт серую девочку
в прелый осень тяжелый цептин
мы за бочок не хотин
и мы не зоме́тим
когда ее зима закогтит
на всем белом свете.
сколько длится тело
окропленное чернилами запустений?
не отрывая руки пишет пропало
а на завитках му́ка его густеет
в землю окунётся по пояс в пятницу
из корней трухлявого пошиба
в лунку навозную вырвется и попятится
жизнь белыми нитками шита
выскользнет в ушко нашего
черно-медового воскресенья
и упадет яйцом безыгольным некрашеным
вылупится птенцом тухлым осенним
белое яблоко жизни отяжелело
в камень сбилось
и раскачивается
на жилках надрывающихся червоточин
в рыхлое вшмякивается
то по костистому
отшелушивает узоры
выскваживающей боли
то истекает печеное
бело-медовым предсмертием
и ловит, ловит его беззубым ртом
похолоделый младенец
криком вскрывает закупорены выси
вылущивать зёрнышки запустений
в до́ смерти твердой мамкиной сисе
сердцем сморщенным
выстуком впалым
выгнись над строчкой и расчеркнись
над смертным праздником усталым
и растекись ни в смерть ни в жисть
да по зажеванной бумаге
пока ты вся не удержись
на избавительном на полушаге
проваливаться вверх и вниз
никто за жидки коски не оттянет
от смерти он не скажет как любить
за грязь под тонкими синюшными ногтями
за мутные густые старые глаза за сжаты кулачки обид
а ты уже реши сама куда теперь итти
за кем по рвам по колеям текти
по проводам звенеть пустым
растянутым последним серым звуком
и кто тебя пропел так? какая смела сука?
чтоб намертво навеки отпустить
за теплую скукоженную руку
и ты умре и по пояс брести
в бреду себя нелегкую нести
подалее от схлопнувшихся стуков
взвиваться небце шрамное скребя
от нас, похеривших так незатейливо тебя
от зрадныка и пидораса-внука
сколько ещё воздуха уляжется в тело
в эту ватную чадящую грудь
смертным маревом жизнь над тобой вскипела
пока его стальными крючками не поддерут
не сдавят воротнички твои, троеручица,
не сорвут все пуговки с сине-дрожащих счеканенных вен
пыльными дымовинами горло окучивается
выдох последний пока не ороговел
смотрюсь в тебя и шепчу вдыхай-выдыхай
как с цветочно-синего рта взлетает и падает майский тяжёлый
жук
ломкими крыльями от вялого подальше рвется греха
в кулаке его зажму и не удержу
прием в отделение – жизненные показатели в норме
пациентка ориентируется во всем и всегда в норме во всем и
всегда
жизненные показатели в норме все и всегда вечно всегда
оценка уровня боли – боль есть боль есть боль есть
боль есть болесть бо лесть блесть
болесть бо лесть есть бо лесть во всем и всегда
вечно всегда егада сегада
местоположение боли – все тело место боли все тело
место все тело боли положение жжение тела
тело ли все ли горит
боль зовет кует тело все
частота боли – непрерывна
тип боли – другой
болью другой дорого́й
боль тела боль-тело
непрерывной другой рывной ывны ывной дугой
надрывной дугой всем телом-дугой
выгинаться местом боли
всегда новой другой
душевное состояние – пациентка осознает
жизненные ограничения
подключена к монитору
то́ру о́ру о́ру орать и ору́
синус 94
сатурация 95
в полном сознании знании полном знании нерерывна
нарывна вечно всегда
знание боли
узнавании частоты боли
чистоты боли
чистую боль не узнать
жизненные ограничения в полном сознании
непрерывна частота боли
местоположение боли – все тело нарывна
осознает нарывную боль
рывную рывь срывь
оборвано место узна́ет
частота боли – непрерывна в на рыв нарыв шаткой боли
оборвано место
надорвано место
рвать дряное место
под себя сикать
синус 82
сатурация 92
состояние стабильное сикать сисикать
себя под место боли
забиться
уровень боли ли непрерывна ли уровня
непрерывно ли знание боли
уровень боли в три раза меньше
уровня о котором сообщает пациентка
местоположение боли
все тело о котором сообщает пациентка непрерывно
тело о котором сообщает пациентка от боли
пациентка сообщает о теле
от уровня боли далеко местоположение жжение у жение
частота чистота сужение боли далеко
сужение боли непрерывно далеко
семье необходимо
семье необходимо сужение боли
семье необходимо отвлечь пациентку от боли
отвлечь от боли местоположение все тело
отвлечь от положения боли
боль – тело
частота боли – надрывна
стота то та боль рывна а боль а стоположжение
отвлекает место жжения все тело
семье необходимо
сатурация 90
пациентка не будет чувствовать
боль 24-48 часов
свет горит частота боли – непрерывна
24-48 часов
введен зонд
пациентка просит воды отказывается от еды
частота боли – непрерывна
48 часов
местоположение боли – все тело боль часов
сатурация 80 направление боли
синус 97 непрерывных часов
частота боли – непрерывна не пп рерывна неп ры
боли засов
положение боли
подключаем к аппарату воздуха под давлением
100 процентный кислород слород
местоположение боли – все тело род боли народ
взбунтовался
вздухху взздух вдыхаю по горло рло
много го воз духа впе переди
по горло боли засов
много жизни вокруг позади отвори
уровень боли растет
частота боли – непрерывна
наклейки финтанила по всей спине
место боли укрывает боль накрывает боль
впрыскивает боль
попискивает болевой покров
бьется о болевой порог
сатурация 75
уровень боли непрерывно растет непрерывно непрерывно
не м_гуу не м_гу г_рло
в-все ппрош-ло во м мн-е все ы уме рло
местоположение боли – все тело
синус 100
остальные жизненные показатели в норме
местоположение боли – все тело
жизненные показатели в норме рме рме умер но
м_ня уд_ши пе_еежь мнеа орло
п-п душку на меня п-п_ложи
свяжи ухожи отпп_усти сти не жи_тть
жизненные показатели в норме
все тело в норме рме ме ани роца мэт
пациентка неспокойна
уровень боли непрерывно растет
пациентка затрудняется дышать
жизненные показатели в норме ани оца ро -о ца
мэт
сатурация 65
14 вдохов хов дохов ходов уходов поддохов
все тело уход потаенный святой
состояние ухудшается
потаенный святой мукой уход вход боли
ситурация снизилась а также и пульс а также и пульс
ульс уль с
ани оца мэт
а также и пульс
реанимируем минируем тело боли реа не боли́
уровень боли – все тело
сатурация 30
массаж сердца по протоколу
колу олу колу про токолу мэта
процедура безуспешна по протоколу безуспешна
шна пешка пешна безус мэта
спешна протоколу процедура безуспешна
дура спешна смешна дура ушла
процедура безуспешна
процедура безуспешна процедура безуспешна процедура
процедура безуспешна процедура безуспешна
процедура безуспешна протоколу
безуспешна процедура безуспешна
процедура безуспешна спешна пешна
массаж сердца сажа сердца выбита
местоположение боли – все тело спешна безу с без
местоположение боли – все тело
все тело все тело
процедура безуспешна
процедура безуспешна
процедура безуспешна
процедура безуспешна
процедура безуспешна
местоположение безуспешно
смерть спешна смерть пешка
процедура безуспешна
процедура безуспешна
процедура безуспешна
смерть наступила во всем теле
все тело безуспешно
тело безуспешно спешно тело спешно
отошло успешно ушло хи мэта
боль безуспешна боль это все тело
смерть наступила безуспешно
смерть наступила в 6:32
вошел в палату откинул простынь опознать местоположение
боли
что ты теперь?
и сколько земля тобою отяжелела
рвут ли корни горло
на полуслове до перезрелого тела
гнойного синего ломкого
слышу прорывается животворящая мякоть
как ты там за глиняными вспыхнула заслонками
позвонками подточенными звякать?
что ты уже? выветрилась в черноягодные рукавища?
саван тугой в сукровичные выпрастываешь холсты
голосом закушенным и расхищенным
везде мироточишь
к нему приложусь
в него зудящие вложу персты
ПОДПИСЫВАЙТЕСЬ НА КАНАЛ COLTA.RU В ЯНДЕКС.ДЗЕН, ЧТОБЫ НИЧЕГО НЕ ПРОПУСТИТЬ