Максим Руссо: Вакцина БЦЖ: новая перспектива

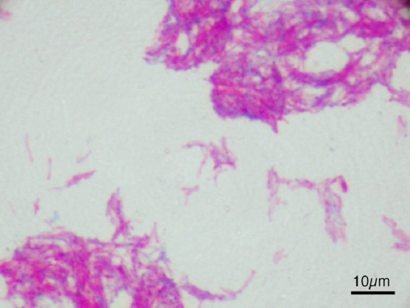
Бактерии вакцины БЦЖ под микроскопом Wikimedia Commons В начале нового года журнал Nature представил исследование, которое обещает значительно увеличить эффективность вакцины, защищающей от туберкулеза. Для этого, согласно полученным в эксперименте на обезьянах данным, достаточно всего лишь изменить способ введения вакцины — с внутрикожного на внутривенный.
Хотя в 1950-х — 1960-х годах многим казалось, что от туберкулеза человечество полностью избавится к концу столетия, он и сейчас остается самой часто причиной смерти от инфекционных болезней. По оценке специалистов, в 2018 году от туберкулеза умерли не менее полутора миллионов человек.
Единственным профилактическим средством, способным защитить от туберкулеза, остается вакцина БЦЖ (BCG, «бацилла Кальмета — Герена»), созданная в 1908–1921 годах французскими учеными Альбером Кальметом и Камилем Гереном. Они сумели, культивируя бактерии на искусственных средах, получить ослабленный штамм возбудителя туберкулеза крупного рогатого скота Mycobacterium bovis, попадание которого в организм человека обеспечивало иммунитет и от возбудителя человеческого туберкулеза — палочки Коха (Mycobacterium tuberculosis). С тех пор в мире было проведено не менее миллиарда вакцинаций БЦЖ.
Хотя изобретение Кальмета и Герена спасло множество жизней, оно не обеспечило, как надеялись врачи, окончательной победы над туберкулезом. В ряде случаев вакцинация оказывается недостаточно эффективной для защиты от легочной формы туберкулеза, которая сейчас наиболее распространена среди взрослых пациентов. Поскольку других противотуберкулезных вакцин, чья эффективность была бы подтверждена крупномасштабными исследованиями, не существует, одной из важнейших задач становится повышение эффективности БЦЖ.
В начале применения БЦЖ вакцину вводили каплями через рот, затем перешли к внутрикожному введению. Целью нынешнего исследования было выяснение, связана ли форма введения вакцины с ее эффективностью.
Коллектив из США во главе с учеными Национального центра аллергии и инфекционных заболеваний провел ряд экспериментов на макаках-резус, которые тоже болеют туберкулезом. До начала исследования иммунологи предполагали, что вакцина, стимулирующая иммунные клетки в месте потенциальной инфекции, станет лучше справляться с возбудителями болезни, то есть вакцину от легочной формы туберкулеза, исходя из этой логики, лучше всего вводить непосредственно в легкие пациента в виде аэрозоля.
В ходе исследования макакам вводили вакцину пятью разными способами: стандартным внутрикожным в обычной дозе, внутрикожным в повышенной дозе, в виде аэрозоля, совместно аэрозоль и внутрикожное введение в повышенной дозе и, наконец, внутривенное введение вакцины. Спустя полгода после вакцинации макак заразили туберкулезом и стали наблюдать.
Неожиданно оказалось, что внутрикожное введение и аэрозоль проиграли по эффективности внутривенной инъекции БЦЖ. У 6 из 10 макак, получивших вакцину таким способом, исследователи вообще не сумели обнаружить никаких следов туберкулезной инфекции. Еще у троих инфекция проявилась, но уровень иммунитета оказался высоким.
Чтобы попытаться выяснить причины повышенной эффективности, исследователи сравнили иммунный ответ у макак, вакцинированных разными способами. Они смогли обнаружить, что у животных, получивших вакцину внутривенно, в легких было увеличено количество Т-клеток, которые распознают антигены, продуцируемые БЦЖ. Поскольку БЦЖ и Mycobacterium tuberculosis родственны, Т-клетки реагируют и на проникновение в легкие возбудителя туберкулеза. По профилю экспрессии генов в Т-клетках ученые определили, что они представляют собой так называемые «клетки памяти». Такие клетки хранят информацию об антигене, с которым иммунная система сталкивалась ранее, и в случае его повторного появления в организме обеспечивают оперативную реакцию.
Однако обнаружение клеток памяти, связанных с иммунитетом против туберкулеза, не может полностью объяснить преимущество внутривенной вакцинации. Возможно, она стимулирует и другие формы иммунного ответа: продуцирование специфических антител (белковых молекул, реагирующих на бактерию туберкулеза), клетки системы врожденного иммунитета, активация которых не требует специфического распознавания возбудителя, а также активизацию макрофагов.
Хотя механизм найденного эффекта еще неясен, он, в случае подтверждения последующими исследованиями, может быть использован на практике, чтобы значительно укрепить защиту от туберкулеза. Правда, следует помнить, что безопасность нового метода для людей еще не доказана. И здесь могут возникнуть серьезные препятствия. БЦЖ представляет собой живую бактериальную культуру, и ее внутривенное введение грозит повышенными риском аллергических реакций и другими побочными эффектами.
Смотрите также: Цена на мощный противотуберкулезный препарат будет снижена на две трети Кишечные бактерии барсуков защитят их от туберкулеза Максим Руссо Нобелевская премия по физиологии и медицине: CTLA-4 и PD-1 Вакцины, вакцинация и их роль в общественном здравоохранении