Коронавирус: что известно на 3 февраля

Турист в аэропорту "Внуково" / АГН "Москва" / фото: Авилов Александр Коронавирус получил свое название благодаря шипам на оболочке, напоминающим корону. Судя по всему, так его прозвали не только из-за внешнего вида: новый вирус, как настоящий диктатор, решил завоевать весь мир.
На данный момент в Китае выявлено 17205 человек, заразившихся коронавирусом. Умерли 361 человек. За пределами Китая подтвердились 149 случаев заболевания.
ВОЗ объявил международный режим ЧС. Лекарство от вируса будет не раньше, чем через год.
В Китае с конца января бьет рекорды по скачиваниям игра Plague Inc. (вышла в 2012 году) — в ней нужно контролировать развитие и распространение смертельной болезни, чтобы создать глобальную пандемию и уничтожить человечество.
«Полит.ру» собрал самое главное про коронавирус к 3 февраля 2020 года.
Изображение коронавируса 2019-nCoV / Центр по контролю и профилактике заболеваний США Кто может заболеть уханьским коронавирусом?
Коронавирус — целая группа вирусов. Им может заразиться не только человек, но и многие животные. Уже известные коронавирусы не угрожают жизни человека, а период болезни проходит сравнительно безобидно.
Новый тип коронавируса, который появился в китайском городе Ухань в конце декабря 2019 года, отличается от остальных: он поражает верхние дыхательные пути, может вызвать воспаление легких (пневмонию) и привести к смерти. Заболевшему обязательно нужно обратиться за помощью к медикам.
Санитарный контроль в аэропорту «Внуково» / АГН «Москва» / фото: Авилов Александр Хотя об уханьском коронавирусе узнали еще в конце декабря, официальное сообщение о том, что он передается от человека к человеку появилось только 20 января.
Заразиться новым типом могут все, так как передается он самым простым путем — воздушно-капельным. Достаточно оказаться рядом с зараженным человеком на расстоянии двух-трех метров, при этом с ним даже не обязательно контактировать.
Особенно быстро вирус обоснуется в организме человека с ослабленным иммунитетом. Согласно временным рекомендациям Минздрава о профилактике, диагностике и лечении новой коронавирусной инфекции, менее всего к новому заболеванию восприимчивы дети и молодые люди.
Также 2019-nCoV не способен выживать на воздухе вне организма. Поэтому можете спокойно забирать посылки с AliExpress. Если от вещи к человеку вирус не передается, то на производстве между людьми — легко: с 30 января китайские продавцы начали просить покупателей отменить заказы. Они обязуются полностью вернуть предоплату.
Как я могу понять, что заразился новым типом коронавируса?
Основные симптомы напоминают обычный ОРВИ — повышенная температура, сухой кашель и общая слабость. В редких случаях появляется одышка и дыхательная недостаточность.
Бывает и так, что вирус практически не проявляет себя, но такой человек все равно может заразить других.
Санитарный контроль в аэропорту «Внуково» / АГН «Москва» / фото: Авилов Александр Роспотребназор рекомендует: если вы посещали в последние две недели Китай, были в контакте с кем-то, кто путешествовал в КНДР и чувствуете признаки простуды — отнеситесь к симптомам максимально внимательно. То есть обратитесь к врачу.
Для профилактики следует поддерживать чистоту рук (купите дезинфицирующее средство и носите с собой), не трите глаза, рот и нос. Регулярно протирайте гаджеты, клавиатуру компьютера и панели оргтехники общего пользования. Сократите приветствия за руку и поцелуи в щеку.
Появилось много рекламы лекарств для профилактики нового коронавируса. Есть ли смысл их покупать?
Скорость распространения вируса и постоянно растущее число его жертв привело к панике. Фармакологические компании воспользовались этим. В частности, в сети и на радиостанциях «На семи холмах», «Европа+», «Авторадио» появилась реклама противовирусных препаратов «Арбидол» и «Ингавирин» как средств от нового коронавируса. Однако эффективность этих препаратов в лечении вирусных заболеваний не доказана. Более того, производители не смогли зарегистрировать их в качестве лекарств ни в Европе, ни в США.
Производство лекарств / mskagency.ru Представители «Арбидола» и «Ингавирина» отказались комментировать эту ситуацию. В то же время рекламой чудодейственных средств заинтересовалась Федеральная антимонопольная служба (ФАС), которая пообещала устроить проверку.
Получается, нет лекарства от уханьского коронавируса?
Сейчас — нет. Исследователи и медики пока что слишком мало знают о реальном действии вируса и его особенностях. Хотя успехи в исследованиях все-таки есть — 29 января ученым из Института инфекционных заболеваний и иммунологии в Мельбурне (Австралия) удалось создать копию нового коронавируса. Модель поможет быстрее разработать эффективное лекарство, но лечить людей от коронавируса в любом случае начнут еще не скоро.
По данным The Guardian, первая версия вакцины уже поступила в лаборатории фармацевтической фирмы Johnson & Johnson. Но для исследований, утверждения и массового распространения лекарства от нового вида коронавируса нужен почти год. Клинические испытания могут пройти уже этим летом, но этот график называют «амбициозным».
Над разработкой вакцины также начали работать сотрудники американского Национального института здравоохранения (NIH) и российского Государственного научного центра вирусологии и биотехнологии «Вектор». По данным издания South China Morning Post, китайские исследователи уже разработали нужную вакцину.
Производство лекарств / АГН «Москва» / фото: Авилов Александр Но все эти оптимистичные прогнозы упираются в многомесячные тестирования и дополнительные исследования. Начать массовое использование эффективного и безопасного препарата смогут не раньше следующего года.
К поиску лекарств для защиты от нового вируса также подключился Минздрав. Во временных рекомендациях ведомства от 30 января есть список препаратов, которые больше всего подходят для профилактики уханьского коронавируса. Среди них − Рибавирин (применяют для лечения гепатита С), Лопинавир/Ритонавир (назначают для лечения ВИЧ) и Рекомбинантный интерферон бета-1b (уменьшает обострения у больных с рассеянным склерозом). Но реальная помощь этих препаратов все равно остается под вопросом. Еще один повод не раскупать лекарства − тяжелые побочные эффекты. Например, анемия.
Помимо этого, Минздрав начал разрабатывать экспресс-тест, который позволит за сутки точно идентифицировать человека с коронавирусом. Для этого врачи будут измерять температуру, брать мазок из носа и горла.
Значительно ускорил разработку теста геном 2019-nCoV, который 29 января китайские ученые передали российским. Полностью работу над экспресс-тестом завершат в феврале. Хотя 22 января глава Роспотребнадзора Анна Попова утверждала, что тесты для диагностики вируса уже используются и дают хороший результат.
Где сейчас есть случаи заражения новым коронавирусом?
В Китае их больше всего — 17205 человек. 24 января врачи вылечили одну заболевшую пациентку — 56-летнюю жительницу Шанхая. Это первый случай избавления от вируса.
На 3 января в Японии зафиксировано 20 случаев заболевания, в Таиланде — 19, в Сингапуре — 18, Южной Корее — 15, Австралии — 12, ФРГ — 10, США — 9, Малайзии — 8, Вьетнаме — 7, Франции — 6, ОАЭ — 5, Канаде — 4, в России, Великобритании, Индии, Италии — по два случая заражения. На Филиппинах два человека заболели, из них один умер, что стало первым смертельным случаем за пределами КНР. В Испании, Камбодже, Непале, Финляндии, Швеции и Шри-Ланке зафиксировано по одному заболевшему пневмонией.
В Белоруссии, Шотландии и Великобритании также проверяют людей с подозрением на коронавирус. Сейчас в этих странах нет заболевших.
Санитарный контроль в аэропорту «Внуково» / АГН «Москва» / фото: Авилов Александр 31 января Минздрав подтвердил два случая заражения коронавирусом на территории России. Оба заболевших — граждане Китая, они находятся в Забайкальском крае и Тюменской области.
В Италии коронавирус обнаружили у двух китайских туристов в Риме. Из-за путешественников из Уханя в стране тут же ввели режим ЧС и выделили €5 млн на профилактику.
Также 31 января Всемирная организация здравоохранения (ВОЗ) объявила международный режим чрезвычайной ситуации: это означает, что все страны, фонды и другие организации должны мобилизоваться и бросить все силы на борьбу с вирусом.
Благотворительный фонд Билла и Мелинды Гейтс (Bill & Melinda Gates Foundation) уже выделил $10 млн: половину этой суммы отдадут государственным и частным организациям Китая, которые находят инфицированных, ухаживают за ними, создают условия для изоляции и работают над созданием вакцины. Остальные $5 млн направят в африканские центры контроля и предотвращения заболеваний. Эти деньги также пойдут на «техническую поддержку» для поиска и лечения подозрительных случаев.
Не осталась в стороне и Южная Корея. 30 января власти страны отдали Китаю $5 млн для борьбы с новым коронавирусом. Также для города Чунцину (прилегает к городу Ухань) выделили $300 тыс. В ближайшее время Сеул передаст Китаю 2 млн масок, 100 тыс. защитных костюмов и очков. Чартерный рейс, которым привезут все вещи, заберет из Уханя и его окрестностей 360 южнокорейских граждан.
В Таиланде создали специальный проект по медицинской подготовке заключенных. Они будут помогать медикам ухаживать за арестантами, если те заболеют уханьским коронавирусом. Всего в программе будут участвовать 50 человек. Их соберут из тюрем по всей стране, а после отправят в тюрьму Бангкока. Там они пройдут специальный восьмидневный курс. После их вернут в свои места заключения. Эту меру введут из-за переполненности таиландских тюрем, где находятся более 380 тыс. заключенных.
Помимо этого, из-за коронавируса приостановят работу две крупные компании — Starbucks и Apple. Starbucks временно закрыл 2,1 тыс. кофеен 29 января, компания Apple объявила о закрытии всех своих магазинов на неопределенный срок 1 февраля. Пока не известно, какие убытки понесут компании из-за вируса.
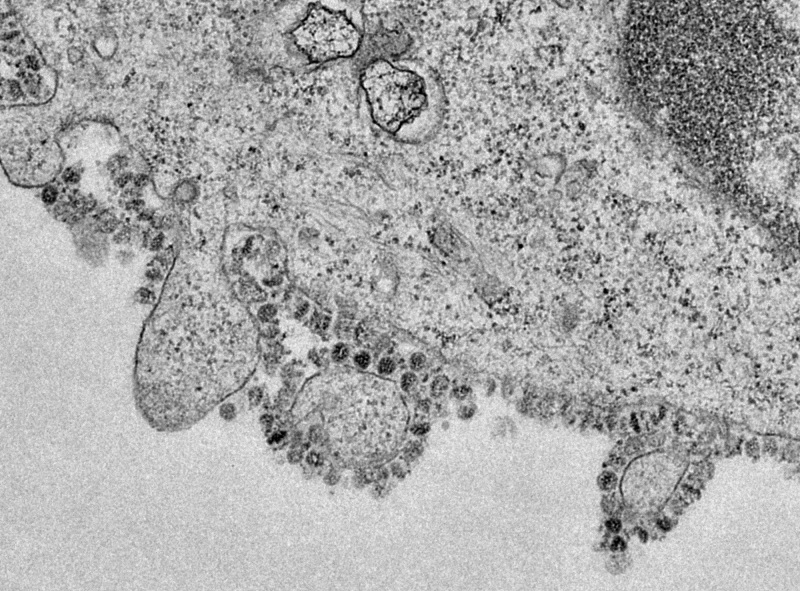
Снимок коронавируса 2019-nCoV через микроскоп / Университет Гонконга Также уханьский коронавирус повлиял на «Макдоналдс»: сеть фастфуда отменила акцию с гамбургерами по 3 рубля (цена 1990 года) из-за опасности заражения.
Инфекция ударила и по спорту. Чемпионат мира по легкой атлетике в Нанкине перенесли на март 2021 года. Под угрозой срыва оказались гонки «Формулы-1».
Что сделали в Китае для борьбы с новым вирусом?
Полностью остановили движение: правительство Китая всеми способами старается минимизировать распространение вируса. В городе Ухань остановили движение транспорта. Жителям запретили въезжать или выезжать из города. Также закрыли крупный город Хуанган. С городом Эчжоу, который расположен в той же провинции, прервали железнодорожное сообщение. Всего на данный момент в Китае закрыто более десяти городов.
Остановили авиасообщение: китайские перевозчики сообщили о временном прекращении авиасообщения между Москвой и городом Ухань. Также закрыли местный аэропорт «Тяньхэ».
Тем не менее, некоторые граждане Китая все равно пытаются сбежать из страны. 23 января жительница города Ухань Яо приняла жаропонижающее и сумела обмануть тепловизор в аэропорту. Таким образом ей удалось улететь в Париж.
О своем поступке путешественница рассказала в WeChat. В своей публикации Яо говорила, что перед отлетом у нее поднялась температура и начался кашель, поэтому она приняла таблетку и это сработало. На заявление женщины обратили внимание другие пользователи и отправили публикацию властям Китая. Они призвали ее вернуться обратно.
Построили специальный центр: 24 января в Ухане начали строить временную больницу площадью 25 тыс. квадратных метров для больных коронавирусом. Работы планируют закончить в начале февраля.
Wuhan is following Beijing's #SARS treatment model, building a special hospital for admitting patients infected in the outbreak of pneumonia caused by novel coronavirus pic.twitter.com/Y3Bes5WKQv
— China Xinhua News (@XHNews) January 24, 2020
Отменили ритуалы: из-за коронавируса глава управления гражданской администрации Пекина Ли Ваньцзюн временно запретил заключать браки и проводить церемонии на похоронах, которые специально запланировали на 2 февраля 2020 года. Сочетание этих цифр в китайском языке созвучны с фразой «я люблю тебя, люблю тебя».
Буддийский храм / pixabay.com «Сейчас в Пекине 12 похоронных бюро, они прекратили проводить прощальные церемонии. Потому что, согласно предварительной записи, на каждую прощальную церемонию собиралось несколько десятков человек, максимально — более ста человек, такие масштабные собрания не способствуют борьбе со вспышкой вируса», − заявил он.
Начали наказывать несогласных: 30 января Департамент общественной безопасности китайской провинции Хубэй сообщил об уголовной ответственности для тех, кто избегает лечения, каким-либо образом вредит медперсоналу и намеренно распространяет вирус. Заболевшие не должны отказываться от проверки, лечения, карантина, так как они «представляют угрозу общественной безопасности».
Также китайские власти запретили создавать отдельные частные палаты и ограничили обряды в больницах: например, китайцам теперь нельзя сжигать ритуальные деньги — делать подношения духам.
Как сейчас в России противостоят распространению уханьского коронавируса?
Обезопасили границу: 22 января Роспотребнадор усилил санитарно-карантинный контроль по всей границе России. Всех людей проверяют тепловизором и делают специальные тесты.
Чтобы уменьшить вероятность заражения, премьер-министр России Михаил Мишустин закрыл границу на Дальнем Востоке. С 31 января на неопределенный срок закроют 16 пропускных пунктов на границе с Китаем.
В Татарстане организовали постоянно действующий штаб по предупреждению завоза и распространения новой инфекции.
Ограничили ж/д и авиасообщение: 29 января авиакомпания «Уральские авиалинии» приостановила прямые зимние полеты, где присутствует большое число организованных тургрупп из Китая: Екатеринбург — Париж, Екатеринбург — Мюнхен, Екатеринбург — Рим.
Санитарный контроль в аэропорту «Внуково» / АГН «Москва» / фото: Авилов Александр Ранее авиакомпания объявила о приостановке авиасообщения из Екатеринбурга и Тюмени на китайский остров Хайнань. Также с 7 февраля приостанавливается сообщение с городами Сиань и Ордос из Екатеринбурга.
Пассажирам, которые уже купили билеты в Европу, авиакомпания предлагает альтернативы со стыковками в Праге и Москве.
Также до 16 февраля отменили все чартерные рейсы из Хабаровска в Китай.
Из-за ограничений убытки авиаперевозчиков могут дойти до $100 млн.
С 31 января приостановили ж/д сообщение между Китаем и Россией (кроме поездов Москва — Пекин и Пекин — Москва). Всех работников РЖД обеспечили медицинскими масками, защитными перчатками и антисептиками. В вокзалах регулярно проводят дезинфекцию. Пассажиры поездов дальнего следования, которые взяли билеты в Китай до 27 марта, могут вернуть их без дополнительных сборов.
Ограничили контакты с Китаем: с 30 января китайским гражданам приостановят оформление электронных виз. Помимо России, к такой мере обратились власти Казахстана, Филиппин и частично Малайзии.
Российским вузам рекомендовали продлить каникулы до 1 марта для китайских студентов.
Обратились к богу: в качестве альтернативных методов защиты от нового вируса 28 января в храме Святителя Николая в Москве прошел молебен о спасении от эпидемии.