Предложен новый способ лечения острой печеночной недостаточности

Израильские врачи обнаружили, что воздействие на определенные типы клеток печени и на живущих в кишечнике бактерий может улучшить состояние при острой печеночной недостаточности.
Острая печеночная недостаточность — разрушительное, быстро прогрессирующее заболевание. Если пациенту не производится экстренная пересадка печени, в 80 % случаев болезнь приводит к смерти. В развитых странах основной причиной острой печеночной недостаточности становится значительная передозировка парацетамола.
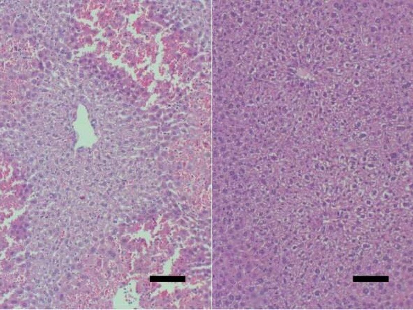
Исследователи из отделения иммунологии Института Вейцмана в экспериментах на мышах с острой печеночной недостаточностью выделили три группы клеток печени, которые влияют на развитие этого состояния. Также они обнаружили сигналы от кишечного микробиома и от пораженной печени, активирующие эти клетки. Блокирование этих сигналов и удаление кишечных бактерий привело к заметному улучшению состояния печени и увеличению выживаемости у мышей. Анализ ткани печени пациентов с острой печеночной недостаточностью выявил молекулярный паттерн, поразительно похожий на обнаруженный у мышей в ходе исследования. Это вселяет надежду, что результаты, полученные на мышах, в будущем могут быть использованы для лечения людей.
Исследование было начато с определения профилей экспрессии генов 45 000 отдельных клеток печени мыши в здоровом состоянии и при острой печеночной недостаточности. Ученые обнаружили, что три типа клеток — звездчатые, эндотелиальные и клетки Купфера — проявляли аномальную активность в ходе развития печеночной недостаточности. Эти клетки выделяли большое количество веществ, привлекающих в печень иммунные клетки, что способствовало ее повреждению. Все три подтипа клеток имеют характерный паттерн экспрессии 77 генов, контролируемый одним и тем же регуляторным белком, фактором транскрипции MYC, что указывало, что все эти клетки могут быть активированы с помощью общей программы.
Авторы работы предположили, что на активацию этих клеток могут влиять кишечные бактерии. Когда они значительно уменьшили кишечный микробиом мышей при помощи антибиотиков, симптомы печеночной недостаточности ослабли. Более того, когда исследователи вызвали острую печеночную недостаточность у мышей, лишенных микробиома, их состояние было намного менее тяжелым, чем у обычных мышей. Дальнейшие исследования мышей с кишечным микробиомом и без него показали, что во время острой печеночной недостаточности отдельные вещества, генерируемые микробиомом, накапливаются в печени, где они активируют белок MYC в трех подтипах клеток печени, которые способствуют ее повреждению. В отсутствие микробиома активация MYC ослаблялась.
Изучив активацию белка MYC на молекулярном уровне, ученые обнаружили, что к ней приводит воздействие на определенные мембранные рецепторы этих трех типов клеток. Через те же рецепторы белок активируется и сигналами от клеток печени, пораженных парацетамолом. У мышей с генетически отключенными рецепторами на этих клетках или при получении препаратов, блокирующих действие белка MYC, развитие острой печеночной недостаточности тормозилось.
«Наши результаты стали первым шагом к достижению всестороннего понимания того, как микробиом взаимодействует с хозяином, способствуя острой печеночной недостаточности, — говорят авторы работы. — Это знание может привести к новому варианту помощи при этом неизлечимом и разрушительном расстройстве».
Исследование опубликовано в журнале Nature Medicine.