Роспотребнадзор засекретил данные об уровне заболеваемости пневмонией в Омске
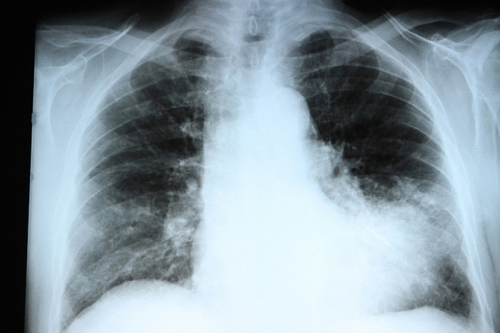
Омскстат опубликовал данные об инфекционных заболеваниях в январе 2021 года, однако в списке нет числа зараженных пневмонией. В декабре 2020 года воспалением легких заболели в 5,4 раза больше пациентов, чем годом ранее.

Омскстат опубликовал данные об уровне заболевания «отдельными инфекционными заболеваниями» в январе 2021 года. Отчет составлен на основе данных регионального Роспотребнадзора, сказано на сайте органа.
Однако в списке нет данных об уровне заболеваемости пневмонией, который за последние месяцы вырос в несколько раз. В декабре 2020 года (когда были опубликованы последние данные) было зафиксировано 5 059 случаев внебольничной пневмонии, что в 5,4 раза больше, чем в декабре предыдущего года, напоминает «СуперОмск».
В данных за январь 2021 года все показатели заболеваемости уменьшаются. Острых кишечных инфекций обнаружено на 54% меньше, чем годом ранее, случаев ОРВИ — на 10%, ВИЧ стали выявлять на 20% реже.
Ранее Тайга.инфо писала, что в Новосибирске за 2020 год значительно снизился уровень заболеваемости ВИЧ. На это могли повлиять уменьшение числа тестов с 970,2 до 870,2 тыс., пандемия и несовершенство профилактики. По мнению областного минздрава, такой ситуации удалось добиться за счет увеличения доли пациентов под наблюдением и на антиретровирусной терапии.