Отсутствие части мозга, участвующей в обработке речи, не помешало человеку выучить два языка и получить учёную степень
Оставшаяся мозговая ткань реорганизовала когнитивные задачи.

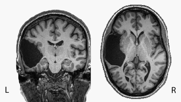
Когнитивный нейробиолог из Массачусетского технологического института Эвелина Федоренко несколько лет работала с пациенткой без части мозга, которая участвует в обработке речи. Несмотря на отсутствие левой височной доли, та отлично говорит на английском и русском языках, имеет учёную степень, и сделала «впечатляющую» карьеру.
Пациентка впервые узнала, что её мозг нетипичен, уже в зрелом возрасте, когда ей сделали его сканирование по несвязанной с этим причине. Вероятно, в детстве она перенесла инсульт: сейчас в этой области мозга находится только спинномозговая жидкость.
По словам пациентки, на протяжении многих лет врачи неоднократно говорили ей, что из-за отсутствия важной части мозга она должна страдать от судорог и испытывать трудности с запоминанием и использованием слов.
У большинства людей преимущественная часть языковой обработки происходит в левом полушарии мозга, у некоторых нагрузка распределяется поровну между двумя полушариями, ещё реже правое полушарие берет на себя большую часть задачи. Обработка речи в основном происходит в двух основных частях мозга: лобной и височной областях. Первыми развиваются височные доли, а к пяти годам — лобные.
Учёные до этого не знали, могут ли формироваться лобные доли в отсутствие височных, но опыт пациентки Федоренко показал, что могут. Серия экспериментов подтвердила, что её языковые способности ничуть не уступают таковым у нейротипичных людей.
Если вы можете удалить половину мозга, и он при этом работает нормально, это говорит о том, что в обычном мозгу есть много избыточных частей. С инженерной точки зрения это является довольно хорошим способом построения системы.
Эвелина Федоренко
Если мозг повреждён, он часто находит способ перенастроить себя — например, слепые люди обычно имеют более чувствительный слух, который развивается в качестве компенсации. Случай пациентки Федоренко лишь подтверждает это.
Учёные продолжат исследовать мозг пациентки, а также её родной сестры, у которой, как оказалось, отсутствует правая височная доля — впрочем, это также никак заметно не сказалось на её жизни.
#новости #нейробиология