Дата
Автор
Скрыт
Источник
Сохранённая копия
Original Material

Украинские медики из батальона «Волки да Винчи» лечат раненых солдат ВСУ на передовой. Фотографии

Механизированный батальон «Волки да Винчи» был создан еще в 2014 году добровольцем Дмитрием Коцюбайло, носившим позывной «Да Винчи». После начала полномасштабного вторжения российских войск в Украину в 2022 году «Волки да Винчи» вошли в состав ВСУ, а в марте 2023 года Коцюбайло погиб в боях за Бахмут. Медицинскую службу батальона возглавляет его невеста Алина Михайлова. Медики «Волков да Винчи» оказывают помощь раненым военным ВСУ на передовой — в частности, на покровском направлении, где идут наиболее ожесточенные бои. Медицинская служба батальона, как рассказывала Михайлова, получила возможность переливать компоненты крови солдатам с тяжелыми ранениями прямо в эвакуационных автомобилях, что позволяет сохранять больше жизней пострадавших.

Diego Herrera Carcedo / Anadolu / ABACAPRESS / ddp images / Vida Press Медики украинского батальона «Волки Да Винчи» помогают раненому солдату ВСУ под Покровском Донецкой области, 21 августа 2024 года
Diego Herrera Carcedo / Anadolu / ABACAPRESS / ddp images / Vida Press Раненый украинский военный в пункте стабилизации в Донецкой области, 16 августа 2024 года
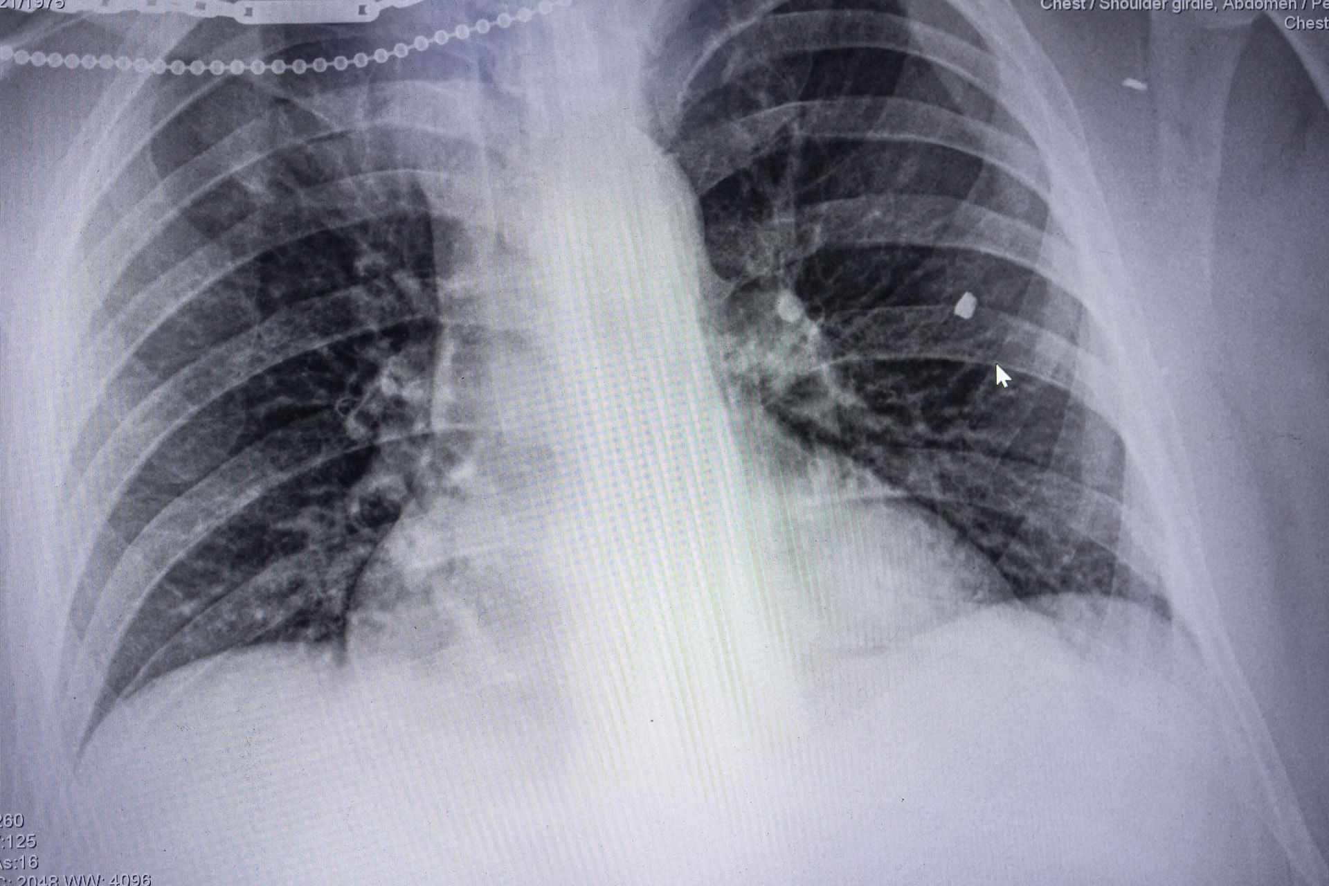
Diego Herrera Carcedo / Anadolu / ABACAPRESS / ddp images / Vida Press Шрапнель на рентгеновском снимке раненого украинского военного, 16 августа 2024 года
Anastasiia Verbovaya / Global Images Ukraine / Getty Images Раненая 21-летняя украинка, работавшая медиком в 11-м отдельном механизированном батальоне ВСУ
Diego Herrera Carcedo / Anadolu / ABACAPRESS / ddp images / Vida Press Украинские медики в пункте стабилизации в районе Покровска, 31 августа 2024 года
Diego Herrera Carcedo / Anadolu / ABACAPRESS / ddp images / Vida Press Раненый украинский солдат в пункте стабилизации батальона «Волки Да Винчи», 21 августа 2024 года