Рак легких может развиться не только из-за сигарет
Рак легких чаще всего развивается из-за курения, но как минимум каждый 10-й случай заболевания не связан с сигаретами. Причин, почему им заболевают некурящие, несколько. Особенно уязвимы к этому виду рака оказались женщины. Почему убивает не только курение — в материале «Холода».
Есть еще две причины, которые не зависят от привычек человека. Особенно это опасно для женщин

Помогите «Холоду» рассказывать человеческие истории
Мы ставим в центр своей журналистики человека и рассказываем о людях, которые сталкиваются с несправедливостью, но не теряют духа и продолжают бороться за свои права и свободы. Чтобы и дальше освещать человеческие истории, нам нужна поддержка читателей — благодаря вашим пожертвованиям мы продолжаем работать, несмотря на давление государства.
- Зарубежная карта
- Карта РФ ↘︎
- Patreon ↘︎
- Перевод
- Крипта
-
Ежемесячно
-
Разово
-
10 €
- 20 €
- 50 €
- Другая
Введите сумму (€)
ФИО
Эл. почта для чека и отчетов
Поддержать ежемесячно — 20 €
- 10 €
- 50 €
- 100 €
- Другая
Введите сумму (€)
ФИО
Эл. почта для чека и отчетов
Поддержать разово — 50 €
- Банк РФ
- Зарубежный банк
Номер карты:
5536 9138 6472 8742
Скопировано!
Получатель:
Taisiya Bekbulatova
Скопировано!
Получатель:
Projektas Šaltis
Скопировано!
Номер счёта:
LT613500010016198323
Скопировано!
SWIFT BIC:
EVIULT2VXXX
Скопировано!
Банк:
Lietuvos Bankas (Bank of Lithuania)
Скопировано!
Комментарий-назанчение платежа:
Parama įstatymų numatytais tikslais (be konkretaus tikslo)
Скопировано!
Просим вас указывать комментарий, чтобы мы могли точно определять поступление средств. Фраза переводится так: «Поддержка в уставных целях (без конкретной цели)».
Сумма: €
Пожертвовать
Совершая пожертвование, вы принимаете политику конфиденциальности
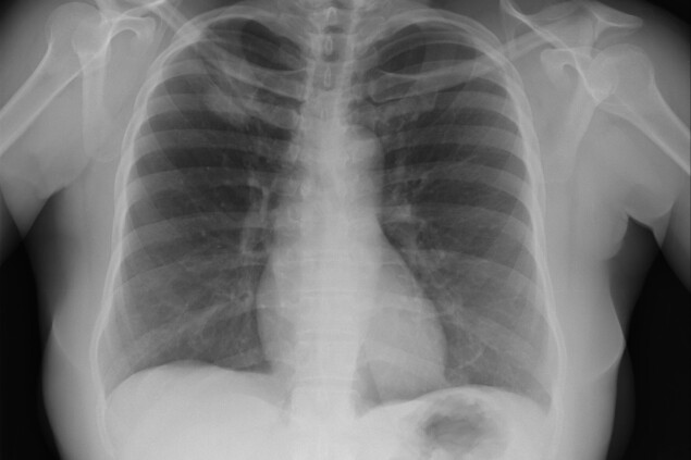
В 2022 году в мире от рака умерли 9,7 миллиона человек. У каждого пятого был рак легких, что делает его самым распространенным видом онкологических заболеваний. Россия занимает пятое место в топе стран, где его чаще всего диагностируют. За 2022 год рак легких забрал жизни 51 тысячи россиян.
По некоторым данным, в большинстве (62%) случаев этот вид рака развивается из-за курения, но среди заболевших есть пациенты, которые никогда не курили. Иногда некурящие люди заболевают намного раньше курильщиков — в 30–35 лет, хотя в среднем по миру рак легких диагностируют в 70 лет.
В каком возрасте проявляется вред от алкоголя и курения Ученые выяснили, когда лучше начинать переходить на ЗОЖ Общество4 минуты чтения
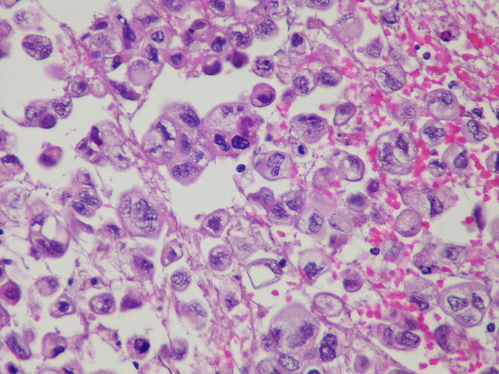
У некурящих пациентов (как и у курильщиков) наиболее распространена аденокарцинома — около 50–60% случаев. Этот тип рака легких развивается в клетках эпителия, которые вырабатывают слизь. Еще около 10–20% случаев связаны с плоскоклеточными карциномами, которые развиваются во внутренних слоях легких. Остальное — это мелкоклеточный рак и более редкие типы болезни.

Симптомы рака легких одинаковы у всех — неважно, курит человек или нет. В основном они проявляются в дыхательных путях: кашель (иногда с кровью), одышка, боль в груди и хрипы, а также беспричинная усталость и потеря веса. У большинства людей симптомы появляются только на поздней стадии болезни.
«Если где-то в ваших легких спрятана опухоль размером один сантиметр, вы ее не заметите», — предупреждает онколог из Университетской больницы Цюриха Андреас Вики
Показатели заболеваемости раком легких разнятся в зависимости от пола: среди никогда не куривших людей женщины подвержены раку легких в два раза чаще, чем мужчины. Некоторые ученые связывают это с «женскими гормонами» — эстрогеном и прогестероном, которые могут влиять на мутации генов. Но дело не только в них.
Виноват грязный воздух
Как правило, вина за развитие рака у некурящих лежит на мутации в гене EGFR, который подает клеткам сигналы к росту и делению. При неправильной работе EGFR клетки [начинают](https://www.channelnewsasia.com/advertorial/what-know-about-lung-cancer-and-its-common-gene-mutations-3410316#:~:text=Epidermal%20growth%20factor%20receptor%20(EGFR,EGFR%20mutations%2C%20shared%20Dr%20Chan.) бесконтрольно развиваться — так и появляется опухоль.
Мутации в гене EGFR [редко](https://www.channelnewsasia.com/advertorial/what-know-about-lung-cancer-and-its-common-gene-mutations-3410316#:~:text=Epidermal%20growth%20factor%20receptor%20(EGFR,EGFR%20mutations%2C%20shared%20Dr%20Chan.) передаются по наследству и в основном приобретаются по жизни. Так бывает не со всеми генами: к примеру, изменения в гене BRCA, который отвечает за развитие рака груди и яичников, передаются от родителей к детям.

Если у человека есть мутация в гене EGFR, это не значит, что у него появится рак. Для этого нужен «провокатор»: например, загрязненный воздух. В нем содержатся PM2.5 — мелкодисперсные взвешенные частицы. Это продукт сгорания ископаемого топлива и выхлопных газов от машин․ Они в 30 раз тоньше человеческого волоса.
Когда PM2.5 попадают в организм, их захватывают макрофаги — иммунные клетки, которые обычно защищают легкие, поглощая инфекционные организмы. Но если у человека есть мутация в гене EGFR, они выделяют особые белки (цитокины), помогающие размножаться раковым клеткам.
Выжившие в авиакатастрофах — как им это удалось В крушении Boeing 787 Dreamliner в Индии спасся лишь один человек. Рассказываем о тех, кому так же повезло в прошлом Мир12 минут чтения
Частицы PM2.5 ответственны за 20% случаев смерти от рака легких. Даже недолгое нахождение в загрязненном PM2.5 воздухе может вызвать респираторные нарушения: от одышки до обострения астмы. Кроме того, ученые подозревают, что рак легких может спровоцировать и микропластик.
«99% населения планеты живет в районах, где уровни загрязнения воздуха превышают нормативы ВОЗ», — отметил научный сотрудник Международного агентства по изучению рака Ганфэн Ло
Помимо PM2.5 на развитие рака также влияет радон — радиоактивный газ, который присутствует в воздухе везде, включая жилые дома. Он образуется при распаде урана в почве и содержится в воде. В воздухе радон распадается на опасные радиоактивные частицы, которые оседают в легких, что и приводит к раку.
Опасность на кухне
Ген EGFR мутирует чаще у женщин и некурящих, поэтому они более уязвимы перед загрязненным воздухом. Источником опасных испарений может быть не только шоссе или завод, но и кухня в обычной квартире. Китайские ученые выяснили, что у некурящих женщин, которые живут в квартирах с плохой вентиляцией на кухне, риск развития рака легких повышается почти на 50%.

В Китае это особенно актуально: там до сих пор используют уголь при отоплении домов и для приготовления еды. В 2022 году рак легких диагностировали у миллиона китайцев.
Если ситуацию с загрязнением воздуха не исправить, то в будущем смертность от рака легких может возрасти. В 2024 году из 182 стран мира лишь 12 смогли похвастаться безопасным для жизни уровнем PM2.5 в воздухе — это, к примеру, Эстония, Австралия и Исландия. В России этот показатель в два раза выше нормы.
Врач пытался помочь мне похудеть и чуть не убил Он назначил аналог «Оземпика» и другие лекарства. Меня стало рвать даже от воды, и я неделю провела в реанимации Общество9 минут чтения
В целом борьба с раком легких в мире идет неравномерно: в США с 1990-х годов заболеваемость снижается благодаря борьбе с курением и ранней диагностике, тогда как в Китае рак легких выявляют реже, но умирают от него чаще. В России уровень смертности остается высоким: по данным Минздрава,каждый пятый из заболевших умирает через год после постановки диагноза, а почти половина случаев выявляется лишь на четвертой стадии. Вероятность, что пациент с четвертой стадией рака проживет больше года, оценивается лишь в 15%.
Чтобы не пропускать главные материалы «Холода», подпишитесь на наши социальные сети!
«Холоду» нужна ваша помощь, чтобы работать дальше
Мы продолжаем работать, сопротивляясь запретам и репрессиям, чтобы сохранить независимую журналистику для России будущего. Как мы это делаем? Благодаря поддержке тысяч неравнодушных людей.
О чем мы мечтаем?
О простом и одновременно сложном — возможности работать дальше. Жизнь много раз поменяется до неузнаваемости, но мы, редакция «Холода», хотим оставаться рядом с вами, нашими читателями.
Поддержите «Холод» сегодня, чтобы мы продолжили делать то, что у нас получается лучше всего — быть независимым медиа. Спасибо!
Автор:Александра Ястребова Фото:Yale Rosen / Wikimedia Commons