Максим Руссо: Малярия: битва за Меконг

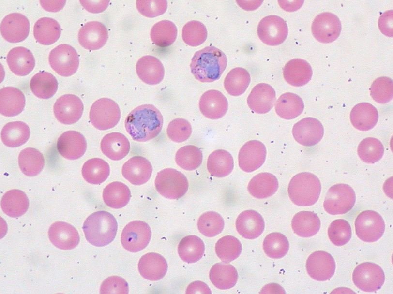
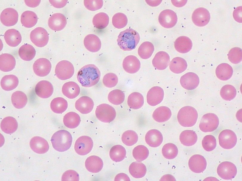
Малярийные паразиты в крови Ed Uthman/Flickr.com Несколько лет назад Всемирная организация здравоохранения распространила известие, которое заставило встревожиться всех специалистов по малярии, на юге Индокитая были обнаружены штаммы возбудителя малярии, которые приобрели устойчивость к наиболее действенному на сегодняшний день средству против этой болезни – артемизинину.
Повышенная способность малярийных плазмодиев мутировать и в итоге становиться устойчивыми против лекарственных средств была известна давно. В свое время и артемизинин был открыт китайскими врачами в процессе поисков лекарства от возбудителей малярии, с которыми уже не могли справиться прежние препараты. Подробнее о появлении артемизинина можно прочитать в специальном очерке, посвященном присуждению Нобелевской премии 2015 года создательнице артемизинина Ту Юю.
Тревожные новости вновь приковали внимание ученых к небольшой провинции Пайлин на юго-западе Камбоджи. Она лежит в центре региона, охватывающего наряду с камбоджийской территорией также и прилегающие части Таиланда, где устойчивость малярии к лекарственным препаратам возникает быстрее всего. В 1950-е годы здесь возник штамм малярии, устойчивый к хлорохину, который потом распространился на весь бассейн реки Меконг, а далее по Индии и Африки, вызвав миллионы смертей. В 1960-е этот регион дал малярию, устойчивую к сульфадоксину-пириметамину, в 1970-е – устойчивую к мефлохину. Устойчивость к артемизинину тоже впервые возникла здесь, а затем была отмечена в других районах Камбоджи, а также Таиланде, Мьянме и Вьетнаме.
Специалисты полагают, что причины такого явления преимущественно социальные. Провинция Пайлин и прилегающие районы нельзя назвать благополучным местом. Население здесь преимущественно бедное, система здравоохранения в плачевном состоянии. Когда-то эти места были последней территорией контролируемой красными кхмерами, и даже в 2000-е годы в ряде районов нельзя было получить медицинскую помощь. Местный рынок наводнен поддельными или устаревшими противомалярийными средствами, а жители часто не имеют средств на полный курс лечения, поэтому принимают препараты, сколько придется, что повышает риск развития у возбудителя устойчивости к лекарству. Врачи давно опасались появление штаммов, устойчивых к артемизинину, поэтому разработали метод приема этого препарата в сочетании с другими средствами – «комбинированную терапию на основе артемизинина» (Artemisinin-based Combination Therapy, ACT). Если малярийный плазмодий не погибнет от артемизинина, то его добьет сопутствующий препарат. Увы, в реальности большинство жителей провинции Пайлин не имеет возможности получать такую терапию.
Сыграла свою роль и проводимая в годы правления красных кхмеров политика массовых переселений городских жителей в деревни для занятий сельским трудом. Переселенные люди прибывали из районов, где малярии не было, поэтому у них не было даже минимального естественного иммунитета к ней. Они заболевали, принимали те лекарства, которые удавалось достать, обычно в небольших дозах, что повышало шансы малярийного плазмодия выработать устойчивость к этим препаратам. Артемизинин был доступен красным кхмерам благодаря тому, что их режим поддерживался Китаем, где данный препарат был создан. Но тут сыграла отрицательную роль высокая эффективность артемизинина. Он способен уничтожить всех малярийных плазмодиев в крови человека за рекордно короткий срок – около 48 часов. Но данное его свойство приводило к тому, что люди часто не принимали полный курс препарата. Они либо считали, что лечение уже завершено, либо старались сохранить лекарство на будущее. В результате плазмодий опять-таки получал шанс выработать резистентность.
Если вести об устойчивости плазмодия к артемизинину, которые впервые поступили в конце 2008 года, вызвали у врачей сильную тревогу, то самые свежие известия с юга Камбоджи оказались еще более пугающими. Обнаружилось, что появился штамм возбудителя малярии, который устойчив не только к артемизинину, но и к пиперакину – препарату, который обычно используется в комбинации с артемизинином. В случае распространения этого штамма даже терапия ACT перестанет быть эффективной. Арьен Дондорп (Arjen Dondorp), руководящий исследованиями малярии в Mahidol Oxford Tropical Medicine Research Unit в Бангкоке, назвал появление такого штамма катастрофой. Пока данный штамм встречается только в Камбодже, но, как говорит ученый, «это только вопрос времени, когда он достигнет остальных стран региона».
По последним данным, комбинированная терапия на основе дегидроартемизинина и пиперакина оказывается неэффективной в Камбодже уже в 50 % случаев, а в провинции Пайлин – в 70 % и более. Правда, новый штамм оказался неустойчив к мефлохину – препарату, который уже около десятка лет считался неэффективным. Поэтому врачи перешли к комбинации артезуната (одного из производных артемизинина) и мефлохина. Но они полагают, что малярийному плазмодию понадобится всего полгода, чтобы выработать устойчивость к мефлохину. Один раз он это уже сделал. Ученые начинают тестировать тройные сочетания препаратов вместо обычно применявшихся парных.
Малярия, которая казалась порою уже поверженным чудовищем, возродится с новыми силами. Все больше исследователей малярии и специалистов по борьбе с инфекционными болезнями высказывают мнение, что есть единственный способ избежать этого. Нужно нанести упреждающий удар. Они предлагают план полного уничтожения малярии в бассейне Меконга, то есть на территории, которая охватывает Таиланд, Камбоджу, Вьетнам, Лаос, Мьянму и южные районы Китая.
В истории известны примеры искоренения малярии в целых странах. Это удалось сделать во многих странах Европы, в Турции, в США. В начале 1960-х годов малярия была ликвидирована в СССР. Теперь в этих странах встречаются только завозные случаи болезни.
План по уничтожению всех возбудителей малярии в странах Индокитая поддерживают Всемирная организация здравоохранения и Глобальный фонд борьбы со СПИДОМ, туберкулезом и малярией (Global Fund to Fight AIDS, Tuberculosis and Malaria), фонд Билла и Мелинды Гейтс. По крайней мере на словах поддержали его и правительства стран данного региона. По принятому в сентябре 2014 года плану Индокитай должен быть освобожден от Plasmodium falciparum к 2025 году, а от Plasmodium vivax – к 2030. Для Камбоджи дата освобождения от Plasmodium falciparum назначена еще более близкая – 2020 год. Затраты на проект оцениваются в три миллиарда долларов. Но эпидемиологическая и социальная ситуация в этом регионе куда сложнее, чем в любой другой стране, где удалось победить малярию.
Малярия в Индокитае присутствует постоянно, но встречается отнюдь не везде. Ее нет на равнинах, в крупных городах, зато там где рисовые поля сменяются покрытыми лесом холмами, а затем и горами, случаи малярии отмечаются ежегодно. Жертвами болезни оказываются представители самых бедных слоев населения, те, кто работает лесорубами, нанимается на шахты, в которых добывают рубины. Среди заболевших много рабочих-мигрантов, перемещения которых трудно отследить, а также представителей национальных меньшинств, живущих в труднодоступных горных районах. Люди, работающие на каучуковых плантациях, обычно проводят в лесу по нескольку ночей и спять под открытым небом в гамаках. Многие из них вообще не знают, что малярию переносят комары, а если и знают, то из-за жары все равно не хотят носить рубашки с длинным рукавом и брюки. Добавим к этому, что некоторые территории Мьянмы контролируют различные сепаратистские движения, поэтому работать там врачи не могут. По сравнению с Африкой, где малярия уносит жизни более 500 тысяч человек в год, в Индокитае от нее умирает менее 200 человек ежегодно, но защитить их гораздо труднее.
Ряд исследователей предлагает проводить в странах Индокитая профилактические мероприятия, в ходе которых курс лечения противомалярийными препаратами будут проходить все жители, независимо от того, больны они или нет. Подобная стратегия используется для борьбы с рядом других паразитарных заболеваний, например лимфатическим филяриозом. Но для малярии ее эффективность многие пока считают недостаточно доказанной. Лечение всех жителей по замыслу авторов поможет преодолеть важное препятствие на пути к победе над малярией – бессимптомное носительство. У определенного количества зараженных малярийный плазмодий не вызывает симптомов болезни, но присутствует в организме в покоящейся форме, поэтому они могут стать источником заражения других. Выявить бессимптомных носителей при помощи исследования пробы крови под микроскопом нельзя, здесь помогает только полимеразная цепная реакция, которая определяет ДНК возбудителя малярии.
Последние два год под руководством Франсуа Ностена (François Nosten) проводится клиническое исследование такого метода борьбы с малярией в нескольких деревнях на границе Таиланда и Мьянмы. Там живет много беженцев из районов, которые контролирует Каренская национально-освободительная армия. Жители этих деревень в течение трех месяцев проходят раз в месяц трехдневный курс комбинированной терапии дегидроартемизинином и пиперакином, а затем получают одну дозу примахина – препарата, уничтожающего возбудителя малярии на другой стадии развития. Судя по первым итогам, поголовное применение препаратов оказывается эффективной мерой. Но Франсуа Ностен признает, что врачам очень трудно убедить принимать лекарства здоровых людей, да еще и делать это несколько раз.
Смотрите также: Максим Руссо Борцы с маленькими убийцами Александра Брутер Малярия оказывает сопротивление Александра Брутер Новое лекарство от малярии Максим Руссо Новый этап борьбы с малярией